Gravidanza
In questa sezione...
In questa sezione del sito trovi esposti gli argomenti pincipali riguardo alla gravidanza: igiene in gravidanza, sintomi e disturbi della gravidanza fisiologica, esami di laboratorio in gravidanza, visite mediche, diagnosi prenatale, ecografia, farmaci, ecc
Igiene e alimentazione
Per igiene in gravidanza ci riferiamo a quelle norme comportamentali che riguardano la vita quotidiana della donna in gravidanza.
Pur essendo quest’ultima infatti una condizione fisiologica, è importante il rispetto di alcuni essenziali consigli nella gestione della vita quotidiana, e ciò allo scopo di conservare lo stato di salute e non andare incontro quindi a condizioni francamente patologiche.
L’attività lavorativa può essere proseguita in gravidanza, purché non comporti un eccessivo impegno fisico, o possibile esposizione a traumi, o contatto con sostanze e ambienti potenzialmente tossici. Ovviamente riguardo all’attività fisica il concetto va esteso anche all’attività domestica, nonché alle attività sportive e di svago (ad esempio le vacanze). Si ricorda che la legislazione italiana prevede la possibilità di lavorare fino al parto e di usufruire del congedo obbligatorio di 5 mesi per prendersi cura del bambino. In presenza di eventuali patologie della gravidanza, la donna, allegando opportuna certificazione medica, può fare richiesta di astensione anticipata dal lavoro.
In una gravidanza fisiologica non vi sono controindicazioni particolari. Ovviamente nella necessità di affrontare un viaggio sarà opportuno programmarlo nella maniera più comoda possibile. Per le lunghe distanze il mezzo da preferire, quando possibile, è l’aereo.
Talora i rischi legati ai viaggi sono legati al verificarsi di complicanze in condizioni di maggior disagio perchè lontani da casa, in ambienti che non si conosce, dove quindi può risultare più difficile il ricorrere a strutture mediche in caso di necessità.
Non vi è motivo di controindicazione ai rapporti sessuali in una gravidanza fisiologica.
Anche per questo argomento vale ovviamente la norma del buon senso, secondo cui in una gravidanza in cui si manifesta una facile tendenza alla contrattilità uterina, con conseguente minaccia d’ aborto o minaccia di parto pre-termine, sarà opportuno limitare l’attività sessuale.
È ampiamente documentato l’effetto dannoso del fumo sul benessere fetale. I bambini di donne fumatrici vanno incontro a un minor accrescimento in utero, con quindi basso peso alla nascita.
Sembra inoltre che la minor capacità di ossigenazione della madre fumatrice comporti anche una minor ossigenazione fetale, con possibili ripercussioni sfavorevoli sul feto.
Il consumo di alcoolici da parte della donna in gravidanza è sicuramente da sconsigliare.
In caso di abuso di alcoolici (per quantità e per uso protratto nel tempo) si può manifestare una autentica “sindrome fetale da alcool”, caratterizzata da un insieme di varie anomalie fetali.
Una futura mamma che desidera mettere al mondo un figlio può dare un contributo determinante prima e durante la gravidanza affinché una nuova vita abbia un inizio ottimale. Per fare ciò basta nutrirsi in modo vario ed equilibrato.
L’alimentazione in questo periodo particolare non dovrebbe discostarsi molto dal punto di vista qualitativo da quello di un soggetto adulto che si alimenti in modo vario, ma dovrà essere aumentata in termini energetici, quali-quantitativi oltre che di sali minerali e vitamine, poiché in questo periodo la donna è impegnata nella sintesi e deposizioni di nuovi tessuti con un incremento del metabolismo.
Un corretto apporto di carboidrati, proteine, grassi, vitamine e sali minerali garantisce una gravidanza ottimale, non solo per la corretta crescita del nascituro e il mantenimento del peso della madre, ma anche per prevenire malattie e alterazioni morfologiche del feto.
- Non digiunare o saltare i pasti nell’arco della giornata, bensì fare pasti piccoli e frequenti ( 4-5 al giorno);
- è buona regola idratarsi giornalmente assumendo in maniera graduale e costante 1,5 L d’acqua, preferibilmente naturale;
- eliminare bevande alcoliche e superalcoliche;
- non abusare nel consumo di bevande contenenti caffeina (caffè, tè…);
- assicurarsi a ogni pasto una porzione di verdura (cruda e/o cotta) e di frutta rispettando la stagionalità;
- inserire nella propria alimentazione fonti proteiche derivanti da: latte e derivati (apportano calcio, vitamina D e proteine), carne ben cotta (dando preferenza a carni bianche alternate a carni rosse), pesce (apporta omega 3 e acidi grassi polinsaturi, importante per lo sviluppo cerebrale e nel modulare la risposta infiammatoria), uova e formaggi; senza tralasciare le proteine vegetali derivanti da legumi quali ceci, lenticchie, fagioli, piselli…
- preferire carboidrati complessi quali pane, pasta, riso, patate (dando preferenza ai prodotti integrali), limitando gli zuccheri semplici derivanti da zucchero bianco, miele, marmellata dolci, caramelle, gomme da masticare…
Ricorda che il mantenimento dello stato di salute e del peso, oltre a essere assicurato da una corretta alimentazione, è dato anche da una regolare e moderata attività fisica.
Dopo la nascita, l’allattamento al seno è la migliore alimentazione e in assoluto la più naturale; assicura infatti la corretta crescita del neonato, lo sviluppo cerebrale e intestinale, oltre che del sistema immunitario grazie agli anticorpi forniti dal colostro (latte nei primi giorni di vita).
Durante l’allattamento, l’apporto calorico con l’alimentazione deve essere aumentato lievemente oltre che fornire un corretto integro di liquidi, di calcio, (acqua, latte e derivati), acido folico (verdura a foglia verde…).
L’acido folico è una vitamina presente in alcuni alimenti, soprattutto le verdure a foglia e in alcuni frutti, di fondamentale importanza per la gravidanza.
L’acido folico infatti favorisce un regolare accrescimento fetale, riduce il rischio di alcune complicanze della gravidanza, ad esempio l’ipertensione arteriosa.
Molto importante è l’efficacia dell’acido folico, se preso già prima del concepimento e nelle prime settimane di gravidanza, nel ridurre il rischio di alcune anomalie fetali, soprattutto a carico della colonna vertebrale (spina bifida).
Farmaci e gravidanza
Un problema che ci si pone frequentemente nel corso del gravidanza è il rischio legato alla eventuale assunzione di farmaci, la quale può essersi verificata già nel corso della gravidanza o spesso in prossimità del periodo del concepimento. E’ infatti noto che vi sono farmaci il cui utilizzo è sconsigliato in gravidanza, per il rischio di un possibile danno a carico del feto.
dato che spesso una gravidanza si verifica casualmente (senza cioè che sia stata preventivamente programmata) è bene utilizzare farmaci solo se strettamente necessari. Ciò è particolarmente importante per la donna che non usa un sistema contraccettivo sicuro, e che quindi deve prevedere l’eventualità di una gravidanza.
Se il farmaco da utilizzare è sicuramente controindicato in gravidanza, prima di iniziare la terapia è opportuno verificare l’esistenza della gravidanza. Oppure, se la terapia è assolutamente necessaria e controindicata in gravidanza, è raccomandabile usare una contraccezione efficace per ridurre il rischio di gravidanza in corso di terapia.
Prudenzialmente può essere opportuno usare farmaci preferibilmemte nel periodo successivo alla comparsa della mestruazione; in tal caso infatti il verificarsi della mestruazione escluderebbe la gravidanza.
è bene utilizzare farmaci solo se strettamente necessari e di provata efficacia. La terapia va sospesa, se rischiosa per il feto, appena si accerta l’ esistenza della gravidanza. Qualora invece fosse assolutamente necessario continuare la terapia anche in gravidanza (ad esempio nella donna in terapia antiepilettica) va scelto il farmaco meno rischioso per la gravidanza. Va ricordato che per alcuni farmaci, se si programma una gravidanza, è opportuna la sospensione della terapia anche alcuni mesi prima della gravidanza (ad esempio i retinoidi). Vi sono inoltre situazioni in cui la terapia deve essere comunque proseguita anche in gravidanza (ad esempio: ipotiroidismo, epilessia).
è bene evitare i farmaci di non provata efficacia. Particolare attenzione va posta per i farmaci di più recente produzione. Infatti per questi farmaci potrebbe non esservi sufficiente documentazione circa il loro utilizzo in gravidanza; d’altra parte per ovvi motivi etici non si dispone di sperimentazione dei farmaci in gravidanza
In tali circostanze va valutato con precisione tipo e dosaggio dei farmaci, nonché il periodo esatto di gravidanza durante il quale si è verificata l’ assunzione dei farmaci.
- Categorie dei farmaci in relazione all’uso in gravidanza
Tra questi vi sono alcuni antibiotici (penicillina, amoxicillina, ampicillina, eritromicina), l’acido folico (consigliato nei primi mesi di gravidanza per la prevenzione della spina bifida), le vitamine a basso dosaggio, il ferro, i farmaci per ridurre le contrazioni uterine, il paracetamolo (antidolorifico e antifebbrile), i farmaci per migliorare la circolazione venosa in caso di varici, gli anestetici locali e alcuni anestetici generali.
- Farmaci scarsamente usati in gravidanza, per i quali non sono stati evidenziati effetti negativi sul feto, ma che tuttavia è preferibile non usare perché poco studiati.
Per i quali non sono stati evidenziati effetti negativi sul feto, ma che tuttavia è preferibile non usare perché poco studiati. Tra questi farmaci antiulcera, gli antidiarroici e gli antidepressivi.
- Farmaci con effetti dannosi (o sospetti) sul feto, non di tipo teratogeno.
Fanno parte di questo gruppo i diuretici, alcuni antidolorofici, i farmaci attivi sul sistema nervoso centrale (ansiolitici, narcotici), alcuni antibiotici come il cloramfenicolo e la rifampicina, gli antidiabetici orali.
- Farmaci potenzialmente teratogeni quelli, cioè, che causano una maggiore incidenza di difetti congeniti.
Quelli, cioè, che causano una maggiore incidenza di difetti congeniti. Fanno parte di questo gruppo e sono, quindi, da evitare in gravidanza:
o alcuni antineoplastici (antitumorali), se impiegati nel primo trimestre nella terapia per i tumori maligni, aumentano notevolmente il rischio di malformazioni del sistema nervoso centrale e a carico degli arti.
o Ormoni androgeni e i progestinici ad azione androgena, cioè ormoni ad azione maschile, contenuti ad esempio negli anabolizzanti per aumentare la massa muscolare, possono determinare segni di mascolinizzazione sui feti di sesso femminile.
o Alcuni antitiroidei (i derivati imidazolici, ioduri e lo iodio radioattivo) possono causare danni alla tiroide e gozzo fetale, se usati dopo la 10^ settimana.
o Litio carbonato, usato nella psicosi maniaco-depressiva, aumenta il rischio di malformazioni cardiache.
o Retinoidi e elevati dosaggi di vitamina A, usati nella terapia dell’acne grave, possono indurre malformazioni a carico del sistema nervoso centrale, dell’ orecchio e del cuore. Vanno sospesi alcuni mesi prima della gravidanza.
o Alcuni antibiotici. Le tetracicline assunte dopo il quarto mese possono determinare colorazione giallo-marrone dei denti decidui. La streptomicina e la kanamicina, farmaci antitubercolari, possono causare danni del nervo acustico.
o La warfarina e altri anticoagulanti orali della classe dei cumarinici possono determinare una sindrome caratterizzata da difetti nasali, malformazioni del Sistema Nervoso Centrale, ritardo mentale e iposviluppo fetale. Da notare che i danni cerebrali sono possibili soprattutto per le somministrazioni durante il 2° e 3° trimestre.
o Antiepilettici: l’acido valproico aumenta il rischio d’insorgenza di spina bifida e dismorfismi facciali.
Per informazioni o dubbi sull’utilizzo di un determinato farmaco in gravidanza si consiglia sempre di consultare il proprio medico o di avvalersi del Servizio informazioni sull’uso dei farmaci in gravidanza e allattamento del Centro di tossicologia clinica dell’Ospedale Papa Giovanni XXIII di Bergamo, chiamando il numero verde 800883300.
Malattie Infettive
La varicella è una malattia che si presenta tipicamente nell’ età infantile e pertanto è raro il riscontro della varicella in gravidanza.
Qualora una donna vada incontro alla varicella nel corso del primo trimestre di gravidanza può verificarsi un maggior rischio di aborto o di malformazioni fetali. Se la varicella si verifica nel secondo e terzo trimestre di gravidanza, il virus della varicella dal sangue materno, attraversando la placenta, arriva al feto. Questo successivamente guarisce perchè riceve anche gli anticorpi di produzione materna.
Se invece la donna manifesta la varicella pochi giorni prima del parto, il bambino può nascere sano, ma nei primissimi giorni può manifestare la malattia anche in forma molto grave.
In questa circostanza infatti il bambino nascendo pochi giorni dopo l’ infezione materna ha fatto in tempo a ricevere dalla madre il virus ma non gli anticorpi. Per quanto attiene alla prevenzione è importante che la gestante non immune (cioè che non ha avuto in passato la varicella) cerchi di evitare le possibili occasioni di contagio. Qualora il contagio avvenga, è utile quanto prima (entro le 72 ore) provvedere alla somministrazione di immunoglobuline (anticorpi) specifiche anti virus della varicella.
Spesso vengono considerate genericamente come episodi influenzali delle situazioni infettive a carico delle vie respiratorie (raffreddore, mal di gola, tosse, ecc.)
La vera e propria influenza è una infezione virale determinata da virus appartenenti alla famiglia dei mixovirus. Qualora l’ influenza venga contratta da una donna in gravidanza, questa più facilmente può andare incontro a complicanze broncopolmonari. Per questo motivo è raccomandata la vaccinazione antiinfluenzale dopo aver superato i primi tre mesi di gravidanza Se l’ influenza si verifica nel primo trimestre di gravidanza, può comportare un maggior rischio di aborto e di malformazioni fetali.
Il morbillo è una malattia virale (Paramixovirus) che qualche tempo fa era molto diffusa soprattutto nell’ infanzia. Oggi è molto meno frequente grazie alla vaccinazione. Oggi il morbillo può raramente presentarsi nelle persone adulte che o non sono state vaccinate o non hanno avuto la malattia in età infantile.
Qualora una donna gravida si ammali di morbillo nei primi mesi di gravidanza, essa va incontro ad un aumentato rischio di aborto spontaneo. E’ rara la possibilità di una infezione fetale.
Se invece la donna si ammala di morbillo nelle 2 – 3 settimane prima del parto, è possibile che il bambino si ammali di morbillo nei primi giorni di vita.
Riguardo alla prevenzione della malattia nella donna in gravidanza, non va eseguita la vaccinazione anti-morbillo (vaccino costituito da virus vivi attenuati) in gravidanza. Se invece una gravida non vaccinata si trova esposta al rischio di contagio, è bene somministrare anticorpi specifici contro il virus del morbillo.
Anche la parotite (altrimenti conosciuta come “orecchioni”), causata da un virus (paramixovirus) è rara nell’ età adulta. Se la donna si ammala di parotite nel primo trimestre di gravidanza, va incontro ad un aumentato rischio di aborto.
In caso di infezione neonatale da parotite, questa può avere gravi conseguenze sul neonato, anche letali. Per questo motivo da alcuni anni è raccomandata per la donna la vaccinazione anti-parotite da fare intorno alle 28-32 settimane di gravidanza. Così facendo si ha una protezione della donna in modo da ridurre il rischio di infezione neonatale (che potrebbe verificarsi in caso di parotite contratta dalla madre). Inoltre, gli anticorpi che la donna produce in seguito alla vaccinazione hanno il tempo di passare al feto attraversando la placenta, in modo che il neonato avrà già anticorpi protettivi in caso di infezione nel periodo neonatale.
La rosolia è una malattia infettiva virale che di solito si manifesta con sintomi lievi e non comporta danni particolari. L’aspetto importante della rosolia consiste nel fatto che, se contratta da una donna per la prima volta nel corso del primo trimestre di gravidanza, può essere responsabile di gravi malformazioni fetali. La probabilità di danno fetale è maggiore nelle prime settimane di gravidanza e tende ad esaurirsi oltre le 16-17 settimane. Qualora invece una donna che ha già avuto in passato la rosolia, o è veccinata, si trovasse esposta al contagio, l’ eventuale reinfezione non comporta rischio per il feto. I danni fetali derivanti dal virus della rosolia possono essere di vario genere: danni a carico degli occhi (cataratta, glaucoma), sordità, malformazioni cardiache, possibile ritardo psicomotorio. Oltre a questi danni è anche possibile in caso di rosolia nelle prime settimane di gravidanza un aumentato rischio di aborto spontaneo.
Per prevenire questi problemi è molto utile accertare già in epoca preconcezionale l’eventuale esistenza di immunità della donna nei confronti del virus della rosolia. In assenza di immunità (donna che non ha avuto la rosolia in passato o che non è vaccinata) è opportuno eseguire la vaccinazione prima di intraprendere la gravidanza. La vaccinazione è prudentemente controindicata in gravidanza ed è bene lasciar passare alcuni mesi tra la vaccinazione e la gravidanza; a tale scopo sarebbe consigliabile effettuare la vaccinazione a fine mestruazione (si esclude così lo stato di gravidanza) è prende la pillola contraccettiva per 2-3 mesi.
La Toxoplasmosi è causata da un protozoo chiamato Toxoplasma Gondii. Questo microorganismo compie una parte del suo ciclo vitale nell’ intestino del gatto, e quindi, una volta eliminato con le feci, può contaminare l’ ambiente circostante. L’ uomo può contrarre l’ infezione mangiando carni crude o poco cotte, mangiando verdura non accuratamente lavata, avendo contatti con gatti senza le dovute precauzioni igieniche.
Se la persona umana contrae la Toxoplasmosi, questa solitamente non comporta danni di rilievo, e può svilupparsi con sintomatologia molto lieve (febbricola).
Se contratta in gravidanza però la Toxoplasmosi può avere delle gravi ripercussioni sul benessere fetale. In caso di toxoplasmosi materna la probabilità che il feto ha di subire l’ infezione cresce con il progredire dell’ epoca di gravidanza. Va inoltre precisato che in caso di infezione fetale i danni sono maggiori nel primo trimestre e via via minori con il progredire della gravidanza.
Considerata la scarsa sintomatologia di una eventuale toxoplasmosi materna in gravidanza, per la diagnosi hanno notevole importanza gli esami di laboratorio, fatti già dall’ inizio di gravidanza, per valutare gli Anticorpi AntiToxoplasma. In caso di paziente immune (cioè che ha già anticorpi per una pregressa toxoplasmosi, anche inapparente) non vi sono problemi nel corso della gravidanza e quindi non sarà più necessario controllare gli esami. In caso di donna non immune (senza anticorpi), sarà importante cercare di evitare occasioni di infezione.
Per la prevenzione della Toxoplasmosi sono importanti le seguenti norme:
evitare carni crude o poco cotte (compreso salumi e insaccati), lavare accuratamente le verdure, lavare accuratamente le mani dopo aver avuto contatti con gatti, lavare accuratamente le mani dopo aver lavorato il terreno (es. giardinaggio), deposito di possibili Toxoplasmi.
In caso di Toxoplasmosi contratta in gravidanza, una diagnosi tempestiva e un’ altrettanto tempestivo trattamento antibiotico, possono ridurre il rischio di danno fetale.
Le infezioni da Cytomegalovirus (CMV) sono molto diffuse e quasi sempre sono prive di sintomi. Le persone infettate, nonostante la presenza di anticorpi, per lungo tempo eliminano il virus con la saliva e con le urine. Il virus può anche essere presente nelle feci, nel liquido seminale e nelle secrezioni cervico-vaginali.
L’ interesse in gravidanza per questo tipo di infezione è dovuto alla possibilità di trasmissione dell’ infezione dalla madre al feto. Questa può avvenire soprattutto attraverso il sangue che, attraversando la placenta, può portare il virus dalla madre al feto.
L’ infezione materno-fetale può avvenire soprattutto in caso di prima infezione materna (donna che viene a contatto per la prima volta con il virus), ma è anche possibile in caso di reinfezione, seppure con minore probabilità.
L’ infezione fetale da Cytomegalovirus non è solitamente causa di aborto o di malformazioni, ma può comportare una malattia a carico di vari organi fetali. Più frequentemente può causare ritardo di accrescimento intrauterino del feto, sofferenza epatica, microcefalia. Nei casi più gravi i bambini che contraggono effettivamente la malattia dalla madre possono morire a pochi mesi dalla nascita o riportare danni permanenti di variabile entità.
Nella donna in gravidanza è opportuno un controllo periodico degli anticorpi anti CMV (analogamente a quanto si fa per Rosolia e Toxoplasmosi). Un’ eventuale prima infezione è segnalata dalla presenza di Anticorpi di tipo IgM. In tal caso per diagnosticare l’infezione fetale (si rammenta che l’infezione materna non sempre comporta l’ infezione fetale) può essere necessario ricercare gli Anticorpi anti-CMV nel sangue fetale attraverso la funicolocentesi (vedi al riguardo la pagina sulle tecniche invasive di diagnosi prenatale). Ulteriori accertamenti saranno necessari sul neonato dopo la nascita.
Per l’ infezione da CMV non esiste purtroppo terapia; anche la possibilità di prevenzione risulta molto limitata, data la notevole diffusione del virus.
I Condilomi sono delle formazioni di tipo verrucoso determinate dal virus H.P.V. (vedi nella sezione Ginecologia la pagina sull’ H.P.V. – Human Papilloma Virus). Essi sono localizzati solitamente a livello genitale e perineale. Quando si presentano in gravidanza è opportuna la loro rimozione mediante diatermocoagulazione o vaporizzazione laser. In rarissimi casi le formazioni condilomatose possono raggiungere delle dimensioni cospicue (condilomatosi gigante) al punto da ostacolare il parto per via vaginale e richiedere così il taglio cesareo. Se i condilomi sono presenti a livello vaginale e vulvare in occasione del parto è possibile che il neonato si infetti attraversando il canale da parto; pertanto in questa circostanza può essere indicato l’ espletamento del parto mediante taglio cesareo.
Vaccinazioni
Anche per i vaccini, come per i farmaci, è meglio evitarne la somministrazione durante la gravidanza, a meno che non vi siano precise indicazioni. Può talora porsi il problema nel caso di una vaccinazione eseguita senza sapere di essere in gravidanza. In altri casi ci si può trovare di fronte alla opportunità di eseguire una vaccinazione (ad esempio una vaccinazione antitetano per una ferita) nel corso della gravidanza. Attualmente non esistono nella letteratura scientifica dei dati certi relativi a danni embrio-fetali da vaccini.
In linea di massima si ritiene che sia sconsigliata in gravidanza l’effettuazione di vaccinazioni con vaccini costituiti da virus vivi ma attenuati, mentre si ritiene ammissibile la pratica di vaccinazioni con virus inattivi o con altre sostanze antigeniche.
Durante la gravidanza sembra che non vi siano problemi per la somministrazione di vaccini contenenti virus inattivati o altre sostanze ad azione antigenica.
Fanno parte di questo gruppo i vaccini:
- desensibilizzanti specifici per la terapia delle allergie;
- antinfluenzale;
- antiepatite A;
- antiepatite B: deve essere somministrato durante la gravidanza ad alcuni soggetti a rischio;
- antipoliomielite;
- antipertosse;
- antipiogeno;
- antipneumococcico;
- antiemofilo;
- antirabbico;
- antitetanico: è raccomandato alle donne che sono esposte al rischio per l’attività lavorativa.
A differenza dei vaccini precedenti, potrebbero esistere problemi per la somministrazione di vaccini contenenti virus vivi, attenuati. Anche se finora non sono stati segnalati effetti teratogeni neanche per questi vaccini, è consigliabile somministrali solo in casi di effettiva necessità e, possibilmente, dopo il terzo mese di gravidanza.
Fanno parte di questo gruppo i vaccini:
- antitifo orale (alcuni tipi);
- antifebbre gialla: non deve essere eseguita nei primi tre mesi di gravidanza;
- vaccini sconsigliati per la mancanza di dati conclusivi;
- antirosolia: sebbene, a tutt’oggi, si consigli di aspettare 3 mesi prima di intraprendere una gravidanza, gli studi effettuati su centinaia di nati esposti durante il primo trimestre non hanno evidenziato un aumento dell’incidenza di malformazioni;
- antiparotite;
- antimorbillo;
- antidifterite;
- antivaiolo;
- antivaricella;
- antitubercolare;
- anticolera: anche se in Europa la malattia è praticamente scomparsa, è consigliabile evitare viaggi durante la gravidanza in paesi dove è la malattia è presente.
Vaccinazione antinfluenzale
La vaccinazione antinfluenzale viene raccomandata alle persone che per le loro condizioni personali corrono un maggior rischio di complicanze nel caso contraggano l’influenza.
Le donne in gravidanza, in caso di influenza, sono da considerare, proprio perché sono in gravidanza, esposte a maggior rischio di complicanze gravi, in confronto alle donne non in gravidanza. Tali complicanze comportano un rischio di ricovero ospedaliero, ed inoltre la condizione di malattia della donna in gravidanza può avere ripercussioni importanti sulla salute fetale.
Pertanto la vaccinazione antinfluenzale in gravidanza, fornisce una protezione efficace per la salute materna e per la salute fetale.
Va ricordato che la vaccinazione antinfluenzale è raccomandato nei periodi stagionali della malattia (autunno e inverno) e va praticata dopo aver superato il primo trimestre di gravidanza.
Vaccinazione antipertosse
Negli ultimi anni stanno aumentano in maniera sensibili i casi di pertosse.
I neonati sotto i due mesi sono più vulnerabili (con possibili esiti anche letali) e la vaccinazione materna è essenziale.
La vaccinazione antipertosse è raccomandata tra le 27 e le 36 settimane di gravidanza.
La vaccinazione comporta un duplice effetto di protezione.
In primo luogo, la donna vaccinata ha minore probabilità di contrarre la pertosse e quindi il rischio di contagiare il neonato.
Inoltre, gli anticorpi prodotti dal sistema immunitario materno grazie alla vaccinazione, attraversano la placenta e arrivano al feto. Quindi il neonato, in caso di eventuale esposizione al contagio da pertosse, avendo già gli anticorpi trasmessi dalla madre, è più protetto, in confronto ad un neonato senza anticorpi perché nato da madre non vaccinata.
Sintomi e disturbi
La gravidanza è un momento fisiologico della vita della donna, nel corso del quale l’organismo materno va incontro a notevoli modificazioni in tutti suoi apparati. Ciò comporta che, pur non andando incontro a vere situazioni patologiche, la gravidanza può causare una serie di disturbi, più o meno marcati, che possono talora turbare la tranquillità della donna.
Non vanno poi dimenticate le ovvie problematiche psicologiche che la gravidanza comporta, e nei confronti delle modificazioni fisiche e sociali cui la donna va incontro, e nei confronti del benessere fetale o sulla possibilità di anomalie fetali.
Molte donne sono disturbate nel primo trimestre di gravidanza da frequenti episodi di nausea e talora vomito, specialmente al mattino. Ciò comporta spesso una riduzione dell’alimentazione con conseguente calo di peso. Tali disturbi sono spesso stimolati da odori marcati di sostanze non solo alimentari. Non è nota con certezza la causa di tali sintomi, anche se sono state formulate diverse ipotesi per spiegarne l’ origine (cause psicologiche, ormonali, ecc.). Nella maggior parte dei casi per far fronte a tali disturbi non è necessario alcun trattamento farmacologico, ma sono sufficienti alcuni accorgimenti volti a rimuovere gli stimoli scatenanti.
Pertanto si consiglia di evitare l’esposizione a odori molto marcati e fastidiosi, mangiare alimenti di facile digeribilità, in quantità modeste, e prevalentemente asciutti. consumare pasti piccoli e frequenti, evitare l’ ingestione abbondante di liquidi.
Nella maggior parte dei casi tali accorgimenti sono sufficienti a dominare la situazione. Nei casi più marcati, il vomito ripetuto e l’assenza di alimentazione possono giungere a compromettere il benessere della donna, con scadimento delle condizioni generali e alterazioni metaboliche (svelate da alterazione di parametri ematochimici). In tali casi è indicato il ricovero ospedaliero per provvedere all’idratazione per via endovenosa della paziente e monitorarne le condizioni generali.
In questo periodo della gravidanza alcune zone cutanee (linea alba addominale, areole mammarie e parte del viso) vanno incontro a un aumento della pigmentazione.
Questo segno non ha significato patologico, e solitamente si risolve spontaneamente dopo il parto.
Si verificano più frequentemente nelle persone che vi sono costituzionalmente predisposte o con familiarità per questo problema.
Concorrono inoltre al manifestarsi delle varici l’azione ormonale del progesterone, e l’ abitudine (o la necessità per lavoro) di mantenere la stazione eretta per tempo prolungato.
Per le varici degli arti inferiori è raccomandabile l’uso di calze elastiche e, quando possibile, riposare con le gambe leggermente sollevate rispetto al piano del letto, per favorire il ritorno venoso.
Le emorroidi si manifestano frequentemente in gravidanza. Ciò dipende, oltre che dall’azione del progesterone sulle pareti venose, anche dalla frequente tendenza alla stipsi in gravidanza.
In alcune donne possono associarsi alla nausea e al vomito scialorrea e ptialismo. Tali disturbi sono la conseguenza di una difficoltà di deglutizione della saliva e talora ad un vero e proprio aumento di produzione della saliva.
Non è nota la causa di tali disturbi, nè esiste una terapia efficace. Tali disturbi cessano spontaneamente.
Già dalle prime settimane di gravidanze si assiste ad un aumento di volume del seno, con conseguente tensione mammaria spesso fastidiosa e talora dolorosa. Già dalla metà della gravidanza molte donne notano una secrezione lattescente dai capezzoli. Tale segno non va considerato patologico, ma è la conseguenza della iniziale preparazione della mammella all’allattamento.
In gravidanza per effetto dell’aumento di volume dell’utero si verifica una accentuazione della lordosi lombare finalizzata al mantenimento di una corretta posizione eretta.
Ciò può comportare un aumento di lavoro della muscolatura lombare e in particolare dei muscoli paravertebrali, con conseguente comparsa di una fastidiosa lombalgia. Spesso questa situazione può comportare una vera e propria sciatalgia, talora molto dolorosa.
Questi sintomi regrediscono poi spontaneamente nei giorni e settimane successivi al parto.
Nel terzo trimestre di gravidanza, per effetto dell’aumento di volume dell’utero, e della conseguente maggior distensione del diaframma, si viene a creare un’ernia jatale transitoria, con significato puramente funzionale. Ciò causa con facilità il reflusso del contenuto gastrico nell’esofago.
Ne deriva, a causa dell’acidità del contenuto gastrico, una fastidiosa sensazione di rigurgito acido. Per prevenire la comparsa di tale disturbo è consigliabile non sdraiarsi dubito dopo il pasto, per evitare che la posizione supina favorisca il rigurgito. All’occorrenza l’uso di farmaci antiacidi può arrecare un certo sollievo.
Nel terzo trimestre di gravidanza, per effetto dell’aumento di volume dell’utero, e della conseguente maggior distensione del diaframma, si viene a creare un’ernia jatale transitoria, con significato puramente funzionale. Ciò causa con facilità il reflusso del contenuto gastrico nell’esofago.
Ne deriva, a causa dell’acidità del contenuto gastrico, una fastidiosa sensazione di rigurgito acido. Per prevenire la comparsa di tale disturbo è consigliabile non sdraiarsi dubito dopo il pasto, per evitare che la posizione supina favorisca il rigurgito. All’occorrenza l’uso di farmaci antiacidi può arrecare un certo sollievo.
A causa della ritenzione idrica (che entro certi limiti può essere considerata fisiologica in gravidanza) si può verificare una compressione del nervo mediano nel canale carpale. Ciò comporta dolenzia alle mani, con sensazione di formicolio e ridotta sensibilità.
In genere tali disturbi regrediscono spontaneamente dopo il parto, in quanto secondari a modificazioni fisiologiche legate alla gravidanza.
Come già è stato annunciato nella premessa, la gravidanza pur restando nel fisiologico, può essere causa talora di disturbi che possono in varia misura preoccupare la donna. Spesso tali disturbi non sono legati a vere e proprie complicanze.
È comunque consigliabile che la donna di fronte a qualche motivo di preoccupazione consulti sempre il proprio medico di fiducia, il quale, dopo aver escluso l’eventuale esistenza di situazioni patologiche, potrà rassicurare la paziente spiegandole il significato, talora puramente funzionale, dei sintomi riferiti.
Visite in gravidanza
Con l’anamnesi il medico ricerca l’eventuale esistenza a livello familiare di patologie a trasmissione ereditaria o che comunque possano comportare un maggior rischio nella gravidanza (ad esempio la presenza nei genitori di diabete o ipertensione arteriosa). In seguito il medico raccoglie dalla donna informazioni sulle caratteristiche dei cicli mestruali, su eventuali gravidanze precedenti (decorso, eventuali complicanze e modalità del parto), su eventuali pregressi interventi chirurgici (soprattutto se ginecologici), e infine su patologie precedenti o attuali.
La visita ginecologica prevede l’ispezione dei genitali esterni e la palpazione di quelli interni, per valutarne forma, consistenza, volume, o punti dolenti.
La visita comprende anche l’esame con lo speculum (effettuato dopo aver introdotto in vagina un divaricatore), utile per valutare il collo dell’utero e le pareti interne della vagina, nonché l’eventuale presenza di secrezioni a livello genitale, indicative di una probabile infezione.
Lo specialista può fare il punto sulle caratteristiche degli organi dell’apparato riproduttivo, tranne che per le tube, che non risultano palpabili. Si rende inoltre conto se ci sono eventuali infiammazioni, anomale formazioni sull’utero o sulle ovaie (un fibroma, una cisti).
Il ginecologo misura anche la pressione arteriosa ed esegue il pap-test, che serve da screening dei tumori del collo dell’utero e per evidenziare eventuali infezioni (da HPV o herpes virus, per esempio). Gli eventuali problemi che vengono riscontrati possono quindi esser curati ed eliminati per tempo.
È bene presentarsi al ginecologo entro il primo mese dopo la mancata mestruazione, portando con sè:
- il test di gravidanza;
- l’esito dell’ultimo pap-test;
- gli esami del sangue eseguiti prima della gravidanza;
- il gruppo sanguigno;
- documentazione relativa a eventuali precedenti gravidanze;
- le cartelle cliniche e gli esami relativi ad altre malattie passate o presenti;
- l’elenco di eventuali farmaci in uso.
Durante la visita il medico:
- accerta lo stato di gravidanza ed eventualmente esegue un’ecografia;
- esclude che vi siano alterazioni dell’apparato genitale o delle mammelle;
- esegue un pap-test (se non eseguito recentemente);
- raccoglie la storia personale e della famiglia, accertandosi che non vi siano condizioni che possono influire negativamente sulla gravidanza;
- misura il peso e la pressione;
- prescrive gli esami per la visita successiva;
- fornisce consigli, informazioni ed eventuali terapie.
Le visite successive dovrebbero avere una cadenza mensile, a meno che non vi siano particolari patologie che suggeriscono una maggiore frequenza.
Durante queste visite il medico:
- si informa sullo stato di salute della donna;
- controlla gli esami eseguiti più recentemente;
- rileva peso corporeo e pressione arteriosa;
- valuta l’accrescimento dell’utero, lo stato del collo uterino, la presenza del battito cardiaco fetale,
- prescrive esami e terapie eventualmente necessarie;
- fornisce consigli e informazioni.
Esami di laboratorio in gravidanza
Nell’ambito del controllo medico della gravidanza un ruolo importante spetta al laboratorio.
Già precedentemente alla gravidanza è consigliabile eseguire degli esami (esami preconcezionali) per verificare lo stato di salute generale, o al contrario riconoscere l’esistenza di eventuali patologie preesistenti alla gravidanza, come ad esempio l’anemia, il diabete, eventuali malattie infettive, ecc.
In corso di gravidanza un periodico controllo degli esami, secondo le indicazioni del medico, assicura circa la naturale evoluzione della gravidanza, oppure permette di evidenziare tempestivamente eventuali problemi.
A titolo di esempio possiamo citare l’anemia (molto frequente), il diabete gestazionale, le infezioni delle vie urinarie, la preeclampsia. Un precoce riconoscimento di questi problemi favorisce una adeguata terapia, prevenendo così le complicanze peggiori.
Nella valutazione del referto degli esami non va dimenticato che le modificazioni fisiologiche a cui l’organismo materno va incontro per effetto della gravidanza fanno si che i valori riscontrati (ad esempio l’emoglobina, la creatinina, ecc.) possano discostarsi dai valori di riferimento citati per confronto nella stampa del referto. Anche per questo motivo è quindi opportuno che sia solo il medico a valutare l’esito degli esami. Il medico, in occasione delle visite eseguite periodicamente durante la gravidanza, valuta gli esami eseguiti, prescrive eventuali terapie necessarie e prescrive gli esami da eseguire successivamente.
Qualora vi sia un ritardo nella comparsa della mestruazione rispetto alla data attesa, è opportuna l’esecuzione di un test per accertare l’eventuale esistenza di una gravidanza. Per l’esecuzione del test sono disponibili in vendita presso le farmacie dei kit di facile esecuzione e buona sensibilità.
In alternativa è possibile fare effettuare il test a un laboratorio di analisi, consegnando al laboratorio un campione di urina. Il test di gravidanza si basa sulla ricerca, nelle prime urine del mattino, della gonadotropina corionica (HCG). Questa è una sostanza che viene prodotta molto precocemente dopo il concepimento e che aumenta costantemente fino al terzo mese di gravidanza.
Nei casi dubbi, oppure in presenza di alcune patologie della gravidanza iniziale (aborto, gravidanza extrauterina) può essere utile dosare la sub-unità dell’hCG direttamente sul sangue (betaHCG ematica).
L’esame completo delle urine è un test molto semplice, che può dare informazioni molto importanti.
La presenza di eventuali infezioni delle vie urinarie (evenienza abbastanza frequente in gravidanza) può essere sospettata con l’esame urine completo. Per confermare il sospetto si esegue allora un’urinocoltura con antibiogramma, che indica i batteri responsabili, la loro concentrazione e gli antibiotici a cui sono sensibili. L’urinocoltura si esegue anche in presenza dei tipici sintomi comunemente riferibili a una cistite, come bruciore durante la minzione (disuria) e minzione frequente (pollachiuria). Molto spesso nell’urina, comunque, sono presenti batteri per semplice inquinamento, provenienti dalla vagina o dal retto. Questo non è un segno d’infezione.
La presenza di proteine nelle urine (proteinuria), soprattutto se in quantità elevata deve far sospettare una eventuale preeclampsia (o gestosi), malattia caratteristica della gravidanza che, oltre alla perdite di proteine, si manifesta con ipertensione e edemi (gonfiore da ritenzione di liquidi). Il glucosio di regola non è presente nelle urine.
La sua eventuale presenza (glicosuria) può far sospettare una condizione di diabete gestazionale. Tuttavia, in gravidanza è talora possibile che i reni lascino passare glucosio nelle urine anche in assenza di diabete, in condizioni di glicemia normale (glicosuria normoglicemica). Per accertare comunque la situazione è opportuno fare gli accertamenti relativi al diabete gestazionale, eseguendo ulteriori indagini (curva da carico orale di glucosio).
L’esame delle urine va ripetuto tutti i mesi e, se necessario, anche tutte le settimane nell’ultimo mese di gravidanza.
Se la donna non ha già eseguito questo esame, è necessario richiederlo all’inizio della gravidanza.
Il gruppo sanguigno viene classificato secondo il sistema ABO e secondo il fattore Rh (Rh positivo oppure Rh negativo).
Se la madre ha gruppo sanguigno Rh negativo, è necessario conoscere il gruppo sanguigno del padre. Se questo è Rh positivo, il feto potrebbe essere a sua volta Rh positivo e quindi potrebbe crearsi un’incompatibilità di gruppo sanguigno Rh tra madre e feto. In questo caso la madre potrebbe produrre anticorpi contro l’antigene Rh che passano attraverso la placenta e con possibile danno sui globuli rossi del feto, determinando la malattia emolitica del neonato (MEN).
Fortunatamente, l’incompatibilità Rh non si verifica quasi mai durante la prima gravidanza, e attualmente se una donna Rh negativa partorisce un bambino Rh positivo, per prevenzione, le vengono somministrate le immunoglobuline specifiche (anticorpi anti-D). Questo previene l’immunizzazione e quindi la comparsa dell’incompatibilità nelle gravidanze successive.
È consigliabile somministare questi anticorpi anche in caso di minaccia di aborto con perdite ematiche, aborto spontaneo o volontario (IVG), altre occasioni di perdite ematiche, dopo traumi addominali, villocentesi o amniocentesi. Comunque, per controllare che durante la gravidanza non si verifichi l’incompatibilità Rh, se la mamma è Rh negativa e il papà Rh positivo bisogna ripetere tutti i mesi un esame che si chiama Test di Coombs indiretto: nei casi normali deve essere negativo. Non c’è, invece, alcun problema se entrambi i partner sono Rh negativi, oppure se la madre è Rh positiva e il padre Rh negativo.
Rileva la quantità, le dimensioni, le caratteristiche e il tipo delle cellule presenti nel sangue: globuli rossi, globuli bianchi e piastrine.
Considerate le variazioni della composizione del sangue nella gravidanza normale, si parla di anemia quando il valore dell’emoglobina scende sotto 11 mg/dl.
Con l’emocromo pertanto si può rilevare la presenza di una eventuale anemia, e quindi, quando necessario, prescrivere una terapia adeguata (solitamente ferro + acido folico).
È opportuno ripetere periodicamente il controllo dell’emocromo nel corso della gravidanza, con lo scopo di verificare tempestivamente una eventuale tendenza all’anemia o la possibile insorgenza di altre patologie.
È necessario eseguire quest’esame specifico se dall’emocromo si rileva una microcitemia (volume piccolo dei globuli rossi) o se vi è il sospetto che la madre sia portatrice di anemia mediterranea (talassemia) o di qualche altra emoglobinopatia.
L’anemia mediterranea è una condizione genetica che in Italia è soprattutto presente nel Polesine, nella provincia di Ferrara, in Sardegna e in alcune altre regioni meridionali. Se tale difetto genetico è presente in entrambi i componenti della coppia, vi è il rischio che il bambino, ereditando il difetto da entrambi i genitori, possa manifestare la malattia in forma grave (talassemia major, detta anche Morbo di Cooley).
Pertanto, in caso di donna con anemia mediterranea (talassemia minor) è necessario estendere l’indagine anche al partner.
È l’unico esame per il quale sia veramente richiesto il digiuno.
Misura la quantità di glucosio (zucchero) nel sangue. Se normale va, comunque, ripetuta periodicamente nel corso della gravidanza. Un valore persistentemente intorno ai limiti (100) è sospetto di una ridotta tolleranza ai carboidrati o di un diabete gestazionale e necessita, pertanto, di ulteriori indagini per precisare la diagnosi.
In alcune situazioni (valori di glicemia al limite superiore della norma, sovrappeso e/o aumento ponderale eccessivo, precedenti figli molto grossi, presenza di glucosio nelle urine, diabete in famiglia) è indicato eseguire la curva da carico di glucosio per valutare la possibilità di un diabete gestazionale (legato cioè alla gravidanza).
In pratica, si dosa la glicemia a digiuno e e con due prelievi dopo un’ora e dopo 2 ore dall’aver bevuto una miscela di 75 gr di glucosio sciolti in 300 ml. di acqua. Qualora uno o due valori fossero superiori ai valori soglia, si può porre la diagnosi di diabete gestazionale.
È la quantità di creatinina presente nel sangue, un prodotto di rifiuto del metabolismo.
L’aumento della creatinina è espressione di una non ottimale funzionalità renale. Pertanto sono da considerare con sospetto i valori di creatinina prossimi ai limiti massimi o superiori alla norma.
Sono enzimi contenuti nel fegato; il loro innalzamento nel sangue è espressione di una possibile sofferenza epatica.
Se i valori risultano elevati, è necessario ripetere l’esame ed eventualmente accertare la presenza di una eventuale patologia a carico del fegato.
Sono esami sierologici che evidenziano un avvenuto contagio con la sifilide.
Se positivi, bisogna instaurare un’adeguata terapia antibiotica, che deve essere effettuata anche nel primo trimestre di gravidanza.
Indica la presenza nel sangue dell’ antigene dell’epatite B. Questa non necessariamente vuol dire che c’è un’epatite in atto, ma potrebbe anche essere segno di una epatite contratta in precedenza.
Se l’esame è positivo vanno quindi fatti ulteriori esami per meglio definire la situazione, riguardo al benessere materno e fetale.
Si tratta del test per vedere se la madre ha anticorpi contro il virus dell’epatite C.
Anche in questo caso, se il test è positivo, vanno fatti ulteriori accertamenti.
Rileva la presenza di anticorpi contro la toxoplasmosi.
La presenza di anticorpi di tipo IgG, con IgM negative, indica che la donna è immune. L’immunità per la toxoplasmosi permane tutta la vita. In tal caso non c’è più bisogno di ripetere l’esame e seguire le norme di prevenzione.
Se invece il test è negativo, bisogna ripeterlo ogni 4-6 settimane fino al termine della gravidanza, poiché con le settimane aumenta la probabilità d’infezione fetale, seppure diminuisce la gravità della malattia. Se si ha una sieroconversione in gravidanza, cioè compaiono anticorpi specifici di tipo IgM in una donna precedentemente negativa, si deve praticare una terapia antibiotica per limitare la possibilità di interessamento fetale.
Rileva la presenza nel sangue di anticorpi contro la rosolia.
Se il test risulta negativo, cioè non ci sono anticorpi, l’esame va ripetuto ogni 4-6 settimane fino al 5° mese, dopodiché la possibilità che il virus possa causare danni fetali è praticamente nulla.
Se si ha una sieroconversione in gravidanza, cioè compaiono anticorpi specifici di tipo IgM in una donna precedentemente negativa, si devono fare altri esami per escludere il passaggio del virus al feto.
Rileva la presenza nel sangue di anticorpi contro il citomegalovirus.
La presenza di anticorpi specifici di tipo IgG con IgM assenti indica uno stato di immunità, mentre l’assenza di entrambi gli anticorpi indica che non c’è mai stato contatto con il virus. Se la donna presenta IgG positive e IgM negative all’inizio della gravidanza, il test non si ripete più, mentre si ripete ogni 4-6 settimane se non c’è immunità (assenza di anticorpi in quantità protettiva). Diversamente dalla rosolia e toxoplasmosi, per la malattia da citomegalovirus l’immunità non è permanente, infatti è possibile una reinfezione nell’uno per cento delle donne.
Molti medici non ritengono opportuno eseguire il test, perché non vi sono misure preventive (vaccinazione) o terapeutiche per evitare il passaggio del virus al feto. Se si ha una sieroconversione in gravidanza, cioè compaiono anticorpi specifici di tipo IgM in una donna precedentemente negativa, si devono fare altri esami per escludere il passaggio del virus al feto.
Il dosaggio degli anticorpi contro i virus erpetici di Tipo 1 (agente della forma che colpisce le labbra) e di Tipo 2 (agente della forma che colpisce i genitali) non viene più eseguito tra gli esami di routine per la gravidanza.
In caso di Herpes genitale in prossimità del parto è indicato il ricorso al taglio cesareo per evitare una possibile infezione fetale.
È il test che dimostra la presenza nel sangue di anticorpi contro il virus HIV, ovvero il virus responsabile dell’AIDS.
È ormai prassi comune richiedere l’anti-HIV in gravidanza, perché eseguendo un’adeguata profilassi farmacologica, con un taglio cesareo programmato ed evitando l’allattamento al seno, il rischio di contagio per il feto si abbassa moltissimo.
Si esegue all’inizio della gravidanza, ed eventualmente va ripetuto successivamente se vi è il dubbio di una possibile infezione in gravidanza.
La maggior parte delle donne ha già eseguito un pap-test prima dell’inizio della gravidanza.
Questo esame, di facile esecuzione e che non comporta nessun rischio per il bambino, va ripetuto se il precedente è stato effettuato da più di due anni.
Intorno alle 35-37 settimane di gravidanza abitualmente si esegue un tampone vaginale e rettale per la ricerca dello streptococco beta-emolitico di gruppo B (GBS).
Si tratta di un batterio che se presente nella vagina o nel retto potrebbe infettare il bambino durante il parto, causando infezioni neonatali che in rari casi possono essere anche molto gravi.
Se l’esame rileva la presenza dello streptococco (che di solito non dà alcun sintomo alla madre), si esegue una profilassi antibiotica alla donna durante il travaglio ed eventualmente al neonato. Ciò acquista maggiore importanza se sono presenti altre condizioni di maggior rischio per le infezioni, ad esempio in caso di parto prematuro, in caso di rottura prematura del sacco amniotico o in caso di rialzo febbrile nel corso del travaglio di parto.
Naturalmente, il tampone vaginale può essere eseguito per la ricerca di altri germi in qualsiasi altro periodo della gravidanza, in caso di sospetta infezione vaginale.
Diagnosi prenatale
Gli esami di Screening Prenatale sono esami indicati per valutare in maniera più accurata l’entità del rischio di patologie cromosomiche fetali e non solo, in modo da definire se vi è l’indicazione ad eseguire la diagnosi invasiva (villocentesi o amniocentesi) o altro genere di indagini.
Con la denominazione di test di screening ci si riferisce a quegli esami che vengono eseguiti con lo scopo di individuare le persone a maggior rischio per una certa patologia. Vanno quindi interpretati come un indicatore di rischio, in termini probabilistici. A differenza degli esami di screening, gli esami diagnostici invece confermano l’effettiva esistenza di una patologia.
Considerato il carattere invasivo della villocentesi e della amniocentesi (e quindi del relativo rischio di abortività come complicanza dell’esame), oggi tali esami non vengono proposti di routine nelle donne in gravidanza.
Già da diversi anni esiste la possibilità di individuare, mediante l’esecuzione di esami di screening, le donne in gravidanza con un maggior rischio di patologie cromosomiche, per le quali è quindi proponibile il ricorso alla diagnosi invasiva Qualora l’ esito di tali esami risultasse positivo, cioè indicativo di un rischio significativamente aumentato per patologie cromosomiche, è indicata il ricorso alla diagnosi invasiva (villocentesi o amniocentesi) per passare da una valutazione probabilistica ad una diagnosi di certezza.
Se si esegue un test di screening per le anomalie cromosomiche bisogna tener presente che:
– test negativo: vuol dire che il rischio di malattia è basso, ma non nullo;
– test positivo: non vuol dire che il feto sia affetto da anomalia cromosomica, ma il rischio stimato è sufficientemente elevato da giustificare un esame invasivo (amniocentesi o villocentesi) per giungere ad una diagnosi di certezza.
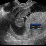
Si tratta di un test composto da 2 metodiche: un esame di laboratorio (Bi-test) ed una Ecografia mirata per lo studio di dettagli fetali, in particolare la translucenza nucale, la cui anormalità è correlata alla possibilità di anomalie fetali. Tale esame ha lo scopo di identificare le gravidanza a maggior rischio di patologie cromosomiche fetali: trisomia 13, trisomia 18 e trisomia 21 (conosciuta anche come Sindrome di Down).
E’ un esame del sangue che si esegue intorno alla decima settimana di gravidanza e consiste nel dosaggio di due sostanze (da cui il nome bi-test) presenti nel circolo sanguigno materno: la free-beta HCG (frazione libera della gonadotropina corionica) e la PAPP-A (proteina A plasmatica associata alla gravidanza). La presenza di valori anormali di tali sostanze può correlarsi ad un maggior rischio di anomalie cromosomiche fetali
E’ un esame ecografico che consiste nella misurazione, tra la 11esima e la 13esima settimana, di uno spazio situato nella regione posteriore del collo fetale. In tale sede è presente una sottile falda di liquido che è presente nella regione nucale di tutti i feti e che appare all’esame ecografico come una sottile zona liquida detta translucenza. Quando tale falda fluida è aumentata (aumento di spessore della translucenza nucale) può esservi un maggior rischio di patologie cromosomiche fetali o altre patologie, ad esempio cardiopatie malformative. Oltre alla translucenza nucale, si esegua ovviamente una accurata valutazione della morfologia fetale, per quanto possibile in relazione all’epoca di gravidanza.
L’associazione del Bi-Test con la misurazione ecografica della Translucenza nucale ha una sensibilità per la Sindrome di Down del 90% (è cioè in grado di individuare 90 feti su 100 affetti da sindrome di Down).
- Si tratta di un esame di screening prenatale non invasivo basato sulla ricerca del DNA fetale nel sangue materno.
- Da diversi anni è noto che già nel primo trimestre di gravidanza è presente nel sangue materno del DNA fetale. Questo può essere ricercato in maniera non invasiva (basta un prelievo di sangue) e studiato per valutare il rischio di alcune patologie fetali.
- Perché l’esame sia attendibile è necessario che la frazione di DNA fetale riscontrabile nel sangue materno sia almeno del 4%. Per cui se nel prelievo di sangue eseguito la frazione di DNA fetale è inferiore al 4%, l’esame non è attendibile.
- La sensibilità del esame del DNA fetale per la Sindrome di Down è stimata vicina al 99%.
- Anche se questa sensibilità è molto alta, va ricordato che il NIPT è comunque un esame di screening (indica una probabilità, non una certezza), e che quindi in caso di positività è indicato comunque il ricorso alla diagnosi invasiva per poter confermare o escludere un sospetto diagnostico.
- Vi possono essere diversi fattori che possono influenzare l’attendibilità dell’esame. Per cui la valutazione del risultato dell’esame deve basarsi su una adeguata consulenza (pre-test e post-test) fornita dal Centro che esegue l’esame, basata su un dialogo tra genetista, laboratorio e centri di diagnosi prenatale.
- Va precisato inoltre che, mentre il test combinato prevede nella sua esecuzione, oltre al Bi-test, un esame ecografico che permette una accurata valutazione morfologica fetale, il NIPT è semplicemente un esame laboratoristico basato su un prelievo di sangue. Quindi non si avvale per la sua esecuzione di una valutazione morfologica fetale, per cui il NIPT da solo non può riconoscere eventuali anomalie fetali che eventualmente possono prescindere dalla condizione cromosomica. Pertanto è raccomandabile proporre un accurato controllo ecografico da affiancare al NIPT.
- Tuttora il NIPT (Non Invasive Prenatal Testing) non è fornito dal Servizio Sanitario Nazionale. Pertanto l’esame viene proposto quasi esclusivamente da laboratori privati, ad un costo variabile tra 400 e 800 euro circa.
Si definiscono invasive quelle metodiche diagnostiche che comportano un prelievo di materiale (villi coriali, liquido amniotico o sangue fetale) dall’interno dell’utero per la diagnosi di patologie cromosomiche, malattie infettive o malattie metaboliche.
Tali tecniche vengono definite invasive in quanto per la loro esecuzione è necessario pungere l’utero (sotto guida ecografica) per prelevare del materiale in esso contenuto. L’esecuzione di questi esami, a differenza degli esami non invasivi (ad esempio l’ecografia) può comportare un certo rischio di abortività. Pertanto è opportuno che nel decidere l’esecuzione di questi esami la paziente valuti con il suo medico di fiducia il rapporto rischio/beneficio del singolo esame e quindi la sua indicazione.
La villocentesi si esegue tra le 10 e le 12 settimane di gravidanza. L’esame viene eseguito in regime ambulatoriale (non è richiesto il ricovero) e non è particolarmente doloroso, comportando solo il dolore legato alla puntura con l’ago. Viene dapprima eseguita un’ecografia per valutare la vitalità fetale, la corretta epoca di gravidanza e la sede di inserzione della placenta.
Successivamente con un ago sottile si punge la parete addominale e quindi la parete uterina (sempre seguendo con l’ecografia il decorso dell’ago), giungendo fino nel contesto del tessuto placentare, da cui si aspirano alcuni frustoli di tessuto che vengono quindi inviati al laboratorio di citogenetica per essere esaminati. L’esito dell’esame è disponibile in 8-10 giorni.
Che cos’è la villocentesi?
Il prelievo di villi coriali, o villocentesi, consiste nell’aspirazione di una piccola quantità di tessuto coriale (10-15 mg). Le cellule presenti nei villi coriali, la parte fetale della placenta, hanno la stessa origine embriologica del feto, e vengono esaminate dal punto di vista del corredo cromosomico.
A cosa serve la villocentesi?
Serve ad accertare la normalità cromosomica fetale o, al contrario, identificare una eventuale patologia cromosomica. Oltre a questo (che è l’indicazione più comune), la villocentesi può essere utilizzata per lo studio del DNA nella diagnosi di malattie ereditarie legate ad un difetto di un gene: queste analisi vengono effettuate solo nel caso in cui esista un rischio specifico per una determinata malattia genetica.
Per quali donne è indicato eseguire la villocentesi?
L’esame viene proposto alle pazienti a elevato rischio di anomalie cromosomiche quali:
- età materna superiore a 35 anni;
- aumentato rischio di patologia cromosomica in base alla valutazione ecografica della translucenza nucale;
- precedente figlio affetto da anomalia cromosomica;
- genitori portatori di alterazioni cromosomiche;
- Inoltre, in caso di rischio per alcune malattie ereditarie (talassemia Alfa e Beta, emofilia A e B, fibrosi cistica ecc.) può essere effettuata l’analisi del DNA.
A quale epoca di gravidanza si esegue la villocentesi?
Si effettua con prelievo dei villi coriali solitamente alla 10a-11a settimana di gravidanza.
Come si effettua la villocentesi?
La villocentesi è un esame che si effettua in regime ambulatoriale (non è necessario ricovero ospedaliero). Dapprima si effettua un esame ecografico per evidenziare il battito cardiaco fetale, confermare l’epoca gestazionale attraverso alcune misurazioni del feto, evidenziare una eventuale gravidanza gemellare. Sempre mediante l’ecografia si identifica posizione e spessore della placenta ed infine la sede in cui effettuare il prelievo. L’esame può essere eseguito sia per via addominale, sia per via cervicale: in Italia solitamente si pratica la villocentesi per via trans-addominale. Dopo aver accuratamente disinfettato l’addome materno, sotto guida ecografica, si effettua il prelievo mediante puntura con un ago attraverso la parete addominale materna fino a raggiungere la parete uterinae quindi il punto di massimo spessore della placenta. Attraverso un movimento di andirivieni dell’ago collegato ad sistema di aspirazione si aspirano 10-15 mg di villi coriali che vengono raccolti in apposite provette sterili che poi vengono inviate al laboratorio per effettuare l’analisi. Dopo il prelievo viene controllata la presenza del battito cardiaco fetale e la paziente viene inviata a domicilio senza necessità alcuna terapia.
La villocentesi è un esame doloroso?
L’esame non è doloroso, la donna avverte solo una sensazione simile a quella di una iniezione intramuscolare.
Sono necessarie delle precauzioni dopo il prelievo?
Dopo il prelievo viene generalmente consigliato un giorno di riposo e, successivamente, la donna può gradatamente riprendere la propria attività.
Qual è il tempo di attesa per la risposta dell’esame?
La risposta dell’esame è disponibile generalmente entro 8-10 giorni.
Esiste la possibilità di dover ripetere l’esame?
Sì, esiste questa possibilità. In rari casi si rende necessaria la ripetizione dell’esame per scarsa crescita cellulare. Talvolta, inoltre, l’esito dell’esame risulta incerto: in tal caso, se si vuole definire la diagnosi, si rendono necessarie ulteriori indagini quali il prelievo di liquido amniotico (amniocentesi).
Possono derivare dei rischi dall’esecuzione della villocentesi?
Esiste una quota di rischio non eliminabile che deve essere nota prima di effettuare l’esame.
Il rischio di aborto derivante dall’esecuzione dell’amniocentesi è stimato intorno all’1%.
Nelle donne con gruppo sanguigno Rh negativo si pratica dopo l’amniocentesi la somministrazione di immunoglobuline anti-D, con lo scopo di prevenire una eventuale isoimmunizzazione Rh.
Qual è l’attendibilità del risultato dell’esame?
Il risultato dell’esame è altamente attendibile. Esiste la possibilità che il risultato dell’esame non sia definitivo rendendosi, eventualmente, necessari ulteriori accertamenti quali l’amniocentesi.
Inoltre, sebbene la probabilità di un’errata diagnosi cromosomica sia da considerarsi estremamente rara, questa non può essere esclusa.
L’amniocentesi si esegue tra le 15 e le 18 settimane. L’esame viene eseguito in regime ambulatoriale (non è richiesto il ricovero) e non è particolarmente doloroso, comportando solo il dolore legato alla puntura con l’ago. Viene dapprima eseguita un’ecografia per valutare la vitalità fetale, la corretta epoca di gravidanza e la sede di inserzione della placenta. Successivamente, sotto guida ecografica, si punge l’utero e si aspirano circa 15-17 ml. di liquido amniotico, che si invia in laboratorio per essere esaminato. Il risultato dell’esame è disponibile dopo circa due settimane.
AMNIOCENTESI: domande e risposte
Cos’è l’amniocentesi?
L’amniocentesi consiste in un prelievo di circa 16-20 cc di liquido amniotico dall’utero: le cellule di origine fetale presenti nel liquido, una volta poste in coltura, vengono esaminate dal punto di vista del loro corredo cromosomico.
A cosa serve l’amniocentesi?
Serve a valutare il cariotipo, cioè l’assetto cromosomico fetale. Si può così accertare la normalità o al contrario la presenza di anomalie cromosomiche fetali.
Inoltre si effettua il dosaggio dell’alfa-fetoproteina, la quale può risultare alterata in presenza di alcune malformazioni fetali quali, ad es., i difetti aperti del tubo neurale. In caso di aumentati livelli di alfa-fetoproteina è necessario un accurato esame ecografico per la identificazione di tali malformazioni.
Per quali donne è indicato eseguire l’amniocentesi?
L’esame viene proposto alle pazienti ad elevato rischio di anomalie cromosomiche quali:
- età materna superiore a 35 anni;
- aumentato rischio di patologia cromosomica valutato con la misurazione ecografica della traslucenza nucale;
- aumentato rischio di patologia cromosomica per positività del tri-test;
- aumentato rischio di patologia cromosomica evidenziato all’ecografia del II trimestre per presenza di malformazioni o di varianti anatomiche fetali;
- precedente figlio affetto da anomalia cromosomica;
- genitori portatori di alterazioni cromosomiche.
A che epoca di gravidanza si esegue l’amniocentesi?
L’amniocentesi precoce si effettua abitualmente a 15-18 settimane compiute di gravidanza.
Come si esegue l’amniocentesi?
L’amniocentesi è un esame che si effettua in regime ambulatoriale (cioè non è richiesto ricovero ospedaliero). Dapprima si esegue un’ecografia per evidenziare il battito cardiaco fetale, per confermare l’epoca gestazionale, per valutare la posizione del feto, della placenta e, quindi, la falda di liquido amniotico dalla quale effettuare il prelievo. Dopo aver disinfettato l’addome materno, sotto guida ecografica, si procede ad effettuare il prelievo con una siringa mediante puntura attraverso la parete addominale materna fino a raggiungere la falda di liquido individuata. Si estraggono circa 16-20 cc di liquido amniotico che viene raccolto in provette sterili: tali provette vengono inviate al laboratorio per effettuare l’analisi. Dopo il prelievo si controlla la presenza del battito cardiaco fetale e la paziente può essere inviata a domicilio senza necessità di alcuna terapia.
L’amniocentesi è un esame doloroso?
L’amniocentesi non è un esame doloroso; la donna avverte soltanto la puntura dell’ago, paragonabile a quella di una iniezione intramuscolare.
Sono necessarie delle precauzioni dopo il prelievo?
Dopo il prelievo viene generalmente consigliato un giorno di riposo e, successivamente, la donna può gradatamente riprendere la propria attività.
Può accadere di dover ripetere l’esame?
Talvolta, per cause di varia natura (mancata crescita della coltura cellulare, contaminazione massiva di sangue materno, ecc.) può essere necessario ripetere il prelievo.
L’amniocentesi può comportare dei rischi?
Essendo l’amniocentesi un esame cosiddetto invasivo, può comportare dei rischi per l’evoluzione della gravidanza. Si può infatti stimare che vi possa essere un rischio di aborto pari al 1%.
Nelle donne con gruppo sanguigno Rh negativo si pratica dopo l’amniocentesi la somministrazione di immunoglobuline anti-D, con lo scopo di prevenire una eventuale isoimmunizzazione Rh.
Qual è l’attendibilità del risultato dell’amniocentesi?
Il risultato dell’esame è altamente attendibile. Esiste la possibilità che il risultato dell’esame non sia definitivo rendendosi, eventualmente, necessari ulteriori accertamenti quali ad es. la funicolocentesi che consiste in un prelievo di sangue fetale. Inoltre, sebbene la probabilità di un’errata diagnosi cromosomica sia da considerarsi estremamente rara, questa non può essere esclusa.
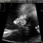
Ecografia
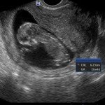
L’ecografia è una tecnica che consente di vedere gli organi del nostro corpo con l’utilizzo di onde sonore ad alta frequenza (ultrasuoni, non udibili dall’orecchio umano) che attraversano i tessuti. La sonda ecografica invia impulsi di onde sonore nel corpo. Quando le onde sonore arrivano al feto mandano degli echi: tali echi (o onde di ritorno) sono trasformati in immagini sul monitor dell’ecografo. Con l’ecografia è quindi possibile osservare in modo dettagliato il feto.
- Perché fare l’ecografia in gravidanza?
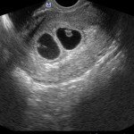
Le ragioni più comuni per cui si esegue una ecografia in gravidanza sono: determinare il numero degli embrioni o dei feti, visualizzare l’attività cardiaca fetale, determinare l’epoca di gravidanza, valutare l’anatomia e la crescita fetale, determinare la posizione del feto e della placenta
- Che cosa si vede con l’ecografia?
Nei primi mesi di gravidanza, con la misura della lunghezza del feto, è possibile valutare se lo sviluppo corrisponde all’epoca di gravidanza valutata in base alla data dell’ultima mestruazione, il numero dei feti e la presenza dell’attività cardiaca.
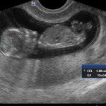
Dal secondo trimestre si misurano altre parti fetali, ed i valori di tali misure vengono confrontati con quelli delle curve di riferimento. Si può così valutare la normalità o meno della crescita fetale. Inoltre periodo si visualizzano la sede di inserzione placentare e la quantità di liquido amniotico.
- E’ possibile rilevare con l’ecografia anomalie fetali maggiori?
La possibilità di rilevare un’anomalia maggiore dipende dalla sua entità, dalla posizione del feto in utero, dalla quantità di liquido amniotico e dallo spessore della parete addominale materna; perciò è possibile che talune anomalie fetali possano non essere rilevate all’esame ecografico. Inoltre alcune malformazioni si manifestano tardivamente (al 7°- 9° mese) e perciò non sono visualizzabili in esami precoci. L’esperienza finora acquisita suggerisce che un esame ecografico routinario, non mirato, consente di identificare dal 30 al 70% delle malformazioni maggiori. Non è compito dell’ecografia la rilevazione delle cosiddette anomalie minori (Linee Guida SIEOG 2006).
- L’ecografia è innocua per il feto?
Gli ultrasuoni sono utilizzati nella pratica ostetrica da oltre 40 anni e non sono stati riportati effetti dannosi, anche a lungo termine, sul feto. Per tale ragione, con le procedure oggi adottate, l’uso diagnostico dell’ecografia è ritenuto esente da rischi. Ovviamente, come in tutte le cose, è bene non eccedere oltre la necessità facendo frequenti esami non necessari.
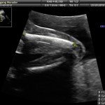
A fianco alla più tradizionale ecografia eseguita per via transaddominale, risulta particolarmente utile nell’esame ecografico ostetrico e ginecologico la via di accesso transvaginale.
Con questa metodica, utilizzando delle sonde ecografiche appositamente predisposte (per forma e dimensione, e per frequenza di emissione degli ultrasuoni) è possibile controllare la gravidanza nel primo trimestre con una qualità e definizione d’ immagine nettamente superiori a quanto possibile per via transaddominale.
Per eseguire l’ecografia transvaginale non è richiesta la vescica piena, diversamente rispetto a quanto richiesto per l’ecografia transaddominale. L’approccio transvaginale consente di aggirare l’ostacolo dovuto ad un aumentato spessore della parete addominale (obesità). In questi casi infatti la qualità d’ immagine in caso di ecografia transaddominale viene fortemente penalizzata dall’eccessivo spessore del pannicolo adiposo addominale.
Con l’ecografia transvaginale è possibile vedere dopo circa 3 settimane dal concepimento la camera gestazionale nella cavità uterina. Successivamente è possibile visualizzare l’embrione (3-5 mm.) a circa 6 settimane dall’ultima mestruazione (4 settimane dal concepimento) ed a questo periodo è già visibile l’attività cardiaca fetale Anche i primi dettagli sulla morfologia fetale (polo cefalico, abbozzi degli arti) sono visualizzabili più precocemente con l’ecografia transvaginale, risultando essi visibili intorno a 8-9 settimane.
Con l’ecografia dei primi mesi di gravidanza, si può anche valutare la normalità dell’utero (eventuale presenza di fibromi già preesistenti alla gravidanza) e delle ovaie.
Con il finire del primo trimestre per il controllo ecografico di routine della gravidanza la via transvaginale viene poi sostituita dalla via transaddominale.
Successivamente può risultare utile il ricorso all’ ecografia transvaginale nei casi in cui si sospettino delle modificazioni precoci (raccorciamento) del collo dell’utero, come potrebbe verificarsi nei casi di minaccia d’ aborto o di parto pretermine.
In questi casi infatti è possibile con l’ ecografia misurare con precisione la lunghezza del collo uterino. In questi casi inoltre l’ ecografia può anche evidenziare un’ iniziale dilatazione dell’ orifizio uterino interno. Tali modificazioni del collo dell’ utero, valutabili con accuratezza solo con l’ ecografia transvaginale, hanno una grande importanza nel considerare un eventuale rischio di parto pre-termine.





















Taglio cesareo
Il taglio cesareo è un intervento chirurgico mediante il quale si espleta il parto estraendo il feto attraverso incisioni chirurgiche praticate sulla parete addominale e sull’utero.
Attualmente la frequenza dei tagli cesarei in rapporto al totale dei parti si attesta su cifre varianti dal 20 al 35 % circa.
Fino alla fine degli anni ’80 il taglio cesareo veniva effettuato solitamente in anestesia generale. Oggi sempre più frequentemente viene fatto in anestesia spinale. Con questa tecnica di anestesia la paziente, restando sveglia e cosciente durante l’intervento, può partecipare con consapevolezza alla nascita del suo bambino.
Per raggruppare in un’unica frase le indicazioni al taglio cesareo possiamo dire che il taglio cesareo si rende necessario in tutte quelle occasioni in cui un parto per via vaginale è impossibile o presenta rischi (per la madre o il bambino) maggiori rispetto alla via addominale.
Le indicazioni all’effettuazione del taglio cesareo possono essere relative a problemi fetali (ad esempio sofferenza fetale, presentazione podalica, ecc.) o a problemi materni (uno o più pregressi tagli cesarei, gestosi, diabete, nefropatie, ecc.). Spesso possono coesistere nello stesso caso più motivazioni simultaneamente.
Facciamo ora un cenno alle più frequenti indicazioni al taglio cesareo.
Si raggruppano sotto il termine di distocia tutte quelle condizioni che comportano una anomalia nello svolgimento del parto. Pertanto mentre un parto che si svolge normalmente, in assenza di complicazione viene definito “eutocico” (dal greco “eu”: bene), un parto che si svolge con delle complicazioni si definisce “distocico” (dal greco “dis”: difficile).
Nell’espletamento del parto possono presentarsi diversi tipi di problemi o di “distocie”.
Possiamo così avere delle distocie consistenti in anomalie delle contrazioni uterine, caratterizzate dalla presenza di contrazioni irregolari per intensità, incoordinate. Per effetto di tale situazione si va incontro solitamente ad un rallentamento o arresto della dilatazione del collo dell’utero, o a una rallentata o mancata discesa della testa fetale nel bacino materno. Spesso tale problema può essere corretto con l’impiego di farmaci (ad esempio l’ossitocina) o praticando la rottura artificiale del sacco amniotico (se ciò non si è già verificato spontaneamente). Talora un travaglio rallentato nella sua evoluzione per effetto di una distocia può trarre giovamento dall’analgesia peridurale. Se queste procedure non hanno risultato può rendersi necessario l’espletamento del parto mediante taglio cesareo.
Con il termine di “presentazione” ci si riferisce alla parte fetale che si confronta con il bacino materno in occasione del parto.
Per presentazione “cefalica” si intende che il feto si presenta con la testa all’ingresso del bacino materno. Questa presentazione si verifica nel 95 % dei parti a termine.
Per presentazione “podalica” si intende che il feto si presenta all’ingresso del bacino materno con le natiche. Tale presentazione si verifica nel 4 % dei parti a termine.
In casi più rari a termine di gravidanza il feto può trovarsi in situazione trasversale, cioè con la testa verso un fianco materno e con le natiche verso il fianco opposto. Quanto il feto si trova in questa situazione, la sua parte che si presenta all’ingresso del bacino è una spalla; pertanto in questa circostanza si parla di presentazione “di spalla”.
Di queste tre presentazioni (cefalica, podalica, di spalla) viene considerata fisiologica solo la presentazione cefalica, mentre vengono considerate anomale la presentazione podalica e la presentazione di spalla.In caso di presentazione di spalla il parto per via vaginale è impossibile, non potendo ovviamente il feto percorrere il bacino materno in posizione trasversale; pertanto la presentazione di spalla è una indicazione assoluta all’espletamento del parto mediante taglio cesareo.
In caso di presentazione podalica il parto per via vaginale non è impossibile, ma comporta maggiori rischi fetali; per questo motivo abitualmente si preferisce alla via vaginale il parto mediante taglio cesareo.
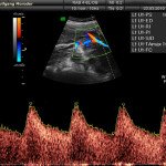
Nel corso del travaglio di parto il benessere fetale viene valutato soprattutto con il monitoraggio cardiotocografico.
Ciò consiste nella registrazione mediante un apparecchio ad ultrasuoni (denominato cardiotocografo) dell’attività cardiaca fetale. Questa viene visualizzata su un display solitamente disposto sul pannello frontale dell’apparecchio e contemporaneamente stampata su un tracciato. Contemporaneamente con un altro trasduttore appoggiato sull’addome materno si registrano le contrazioni uterine, valutando così la loro frequenza e intensità. La valutazione dell’attività cardiaca fetale, e soprattutto il suo comportamento in relazione alle contrazioni uterine, fornisce indicazioni sul benessere fetale in travaglio.
Qualora il monitoraggio cardiotocografico fornisse informazioni non rassicuranti riguardo al benessere fetale, rivalutato tutto il contesto della situazione (epoca di gravidanza, sviluppo fetale, preesistenza di eventuali patologie, ad es. ipertensione, eventuale meconio nel liquido amniotico, entità della dilatazione del collo dell’utero in quel momento, ecc.) potrebbe rendersi necessario accelerare i tempi dell’espletamento del parto. A seconda della situazione, da valutare in ogni singolo caso, può presentarsi l’indicazione all’espletamento del parto mediante taglio cesareo.
Da ormai diversi anni è molto aumentato il numero di parti che si attuano mediante taglio cesareo. In Italia in molti ospedali il numero dei tagli cesarei supera il 30 % del totale dei parti. Ciò comporta che sempre più spesso ci sono donne che hanno già partorito mediante taglio cesareo, e che quindi in occasione del parto successivo si trovano di fronte al bivio: parto vaginale o ripetizione del taglio cesareo?
Il pregresso taglio cesareo, pur non essendo di per sé un’indicazione assoluta alla ripetizione del taglio cesareo, rappresenta, insieme alla distocia, la causa più frequente di taglio cesareo. Data la complessità del problema, in questa pagina ci si limita a considerare alcuni degli aspetti più importanti, ricordando che ogni singolo caso clinico va valutato a se stante nel suo contesto clinico.
Va tenuto conto che l’utero della donna che ha già subito un taglio cesareo presenta una cicatrice che, come tutti i tessuti cicatriziali, ha una minore elasticità in confronto ad un tessuto sano. Pertanto la donna che ha già avuto un precedente taglio cesareo, in una gravidanza successiva presenta, almeno sul piano teorico, un rischio di rottura d’utero.
Tale rischio è significativo soprattutto in caso di precedente taglio cesareo eseguito con incisione longitudinale sul corpo dell’utero; nella quasi totalità del casi si esegue una incisione uterina trasversale bassa. Tento conto comunque dell’esistenza della cicatrice, e considerata questa come un punto di minor resistenza, qualora si scelga la via di un parto vaginale, solitamente ci si astiene da un’induzione farmacologica del parto, per evitare una eventuale stimolazione eccessiva delle contrazioni. Pertanto nella donna con un pregresso taglio cesareo si preferisce attendere l’insorgenza spontanea del travaglio.
In genere è sconsigliato il parto vaginale se si è di fronte a un bambino con una crescita superiore alla media, potendosi in questo caso prevedere la possibilità di un parto vaginale difficoltoso. Parimenti si sconsiglia il parto vaginale se in passato vi sono stati almeno due tagli cesarei.
Sono infine da considerare due condizioni permittenti fondamentali per poter seguire la scelta del parto vaginale:
- considerata la maggiore probabilità di dover effettuare durante il travaglio un taglio cesareo urgente, la struttura ospedaliera deve essere in grado (per struttura e personale) di effettuare un taglio cesareo in emergenza;
- consenso della paziente al parto vaginale.
La gravidanza gemellare rappresenta l’1% di tutte le gravidanze.
In questi ultimi anni vi è una tendenza all’aumento del numero delle gravidanze gemellari, e ciò in conseguenza della maggiore diffusione delle tecniche di fecondazione assistita.
Nel caso di gravidanza gemellare, con ambedue i gemelli in posizione cefalica e un’epoca gestazionale adeguata (almeno 34 settimane), è generalmente riconosciuta la sicurezza del parto per via vaginale, mentre il TC dovrebbe essere riservato ai casi di sproporzione feto pelvica o di stress fetale.
Nel caso in cui il primo gemello fosse in posizione podalica, già questo di per sè, pur prescindendo dalla gemellarità, costituisce un’indicazione al taglio cesareo.
Nel caso di presentazione podalica o trasversale del secondo gemello, con il primo in presentazione cefalica, oggi si ritiene preferibile ricorrere al taglio cesareo. Infatti dopo la nascita per via vaginale del primo potrebbero esservi complicazioni per la nascita del secondo gemello in presentazione anomala. Per evitare tali complicazioni si preferisce oggi espletare il parto mediante taglio cesareo in tutte le gravidanze gemellari in cui i bambini non siano entrambi in presentazione cefalica.
Oltre alle indicazioni descritte finora (che sono le più frequenti), possono esservi numerose altre indicazioni all’effettuazione del taglio cesareo: placenta praevia, distacco intempestivo di placenta, infezioni materne, patologie cardiovascolari, patologie respiratore, patologie renali, diabete, ecc.
Richiedendo la trattazione di questi argomenti un approfondimento scientifico particolareggiato per ogni singolo caso, e superando così il semplice fine divulgativo di questo sito, si ritiene di soprassedere alla loro trattazione, invitando chi fosse interessato ad un singolo argomento a rivolgersi al proprio ginecologo di fiducia.
Gravidanza gemellare
La gemellarità è sempre stato un argomento che ha stimolato la fantasia sulla riproduzione umana, suscitando interessi di varia natura: curiosità, paura, mistero. I gemelli stessi sono stati nel corso degli anni spesso oggetto di studi: quanto in una persona dipende dalla genetica e quanto dai fattori ambientali?
L’argomento della gemellarità ha visto accrescere l’interesse al suo riguardo negli ultimi decenni, grazie al diffondersi delle tecniche mediche per la sterilità. È noto infatti che è nettamente aumentato il numero di gravidanze gemellari nelle gravidanze indotte con la procreazione medicalmente assistita.
Come premessa ricordiamo che con il termine “zigote” si intende la cellula uovo fecondata dallo spermatozoo, che contiene quindi il patrimonio genetico di origine in parte materna (cioè dalla cellula uovo) e in parte materna (cioè dallo spermatozoo). Tale cellula fecondata, ovvero lo zigote, dividendosi poi in più cellule, darà origine a uno o più individui.
Esistono quindi, in base a diverse modalità e tempi di divisione dello zigote, essenzialmente 2 tipi di gemelli:
- gemelli monozigoti: derivano dalla fecondazione di due distinte cellule uovo da parte di 2 distinti spermatozoi; in tal caso i gemelli non sono identici ma diversi. Ciò succede circa in 1/3 dei casi.
- gemelli dizigoti: in tal caso una singola cellula uovo subisce una divisione dopo la fecondazione, dando origine così a due gemelli identici. Ciò succede circa nei 2/3 dei casi).
Con questo termine ci si riferisce al numero di placente in una gravidanza gemellare.
- gravidanza monocoriale: gravidanza gemellare con una unica placenta (20%),
- gravidanza bicoriale: gravidanza gemellare con due placente distinte (80%).
È molto importante fare questa distinzione (con ecografia in epoca precoce della grravidanza), in quanto, essendo le gravidanze monocoriali interessate da maggiori complicazioni, richiedono un controllo medico molto più accurato.
Con questo termini ci si riferisce al numero delle cavità amniotiche. Pertanto di parla di:
- gravidanza monoamniotica: quando i feti sono entrambi in un unico sacco amniotico,
- gravidanza biamniotica: quando i feti sono in due sacchi amniotici distinti.
La gravidanza gemellare può essere, in confronto alla gravidanza singola, più difficile e più impegnativa nel suo decorso. Ciò dipende dal fatto che i comuni disturbi di una gravidanza singola possono essere maggiormente accentuati nella gravidanza gemellare. Ad esempio possono essere talora più intensi i disturbi dei primi mesi (nausea e vomito), può essere maggiore l’aumento di peso (con conseguente maggiore affaticabilità). Inoltre il più accentuato aumento di volume dell’addome può più facilmente comportare dolore addominale o lombo-sacrale, e talora disturbi respiratori.
La gravidanza gemellare può essere inoltre interessata da maggiori complicanze.
- maggiore probabilità di aborto;
- maggiore frequenza di malformazioni fetali e alterazioni cromosomiche:
- maggiore rischio di mortalità perinatale. Tale aumento si stima intorno al 10% nelle gravidanze monocoriali e può raggiungere il 40-50% nelle gravidanze gemellari monocoriali-monoamniotiche;
- maggior rischio di ridotto accrescimento fetale;
- possibilità che si verifichi nelle gravidanze monocoriali la Sindrome di trasfusione feto-fetale (vedi oltre);
- maggior rischio di patologie materne, come ad esempio anemia, ipertensione arteriosa, diabete gestazionale;
- maggior rischio di rottura prematura delle membrane e di parto pretermine.
Per questi motivi la gravidanza gemellare deve essere seguita dal punto di vista medico in maniera più rigorosa e intensiva rispetto alla gravidanza singola.
La sindrome da trasfusione feto-fetale (TTTS, dall’inglese twin to twin transfusion syndrome) è una temibile complicanza della gravidanza gemellare monocoriale. Se non riconosciuta, e quindi non trattata, può comportare un elevato rischio di mortalità fetale (fino all’80-90%).
I gemelli monocoriali hanno un’unica placenta e quindi condividono la stessa circolazione placentare: esistono vasi placentari (anastomosi) attraverso i quali il sangue va da un gemello all’altro. Abitualmente questo scambio di sangue avviene in maniera bilanciata; cioè il sangue che passa dal feto A al feto B corrisponde abbastanza bene alla quantità di sangue che passa dal feto B al feto A.
Nel caso della sindrome da trasfusione feto-fetale avviene un passaggio di sangue che è prevalente in una direzione, cioè da un feto all’altro. In sostanza questo scambio di sangue non avviene in maniera equilibrata. In tal caso il feto che riceve più sangue (detto quindi “ricevente”), va incontro ad un sovraccarico di liquidi e quindi produce più urina.
Ciò comporta in definitiva un aumento di produzione di liquido amniotico (polidramnios). Il feto che invece cede più sangue (detto quindi “donatore”) produce meno urina e quindi meno quantità di liquido amniotico (“oligoidramnios”).
Il verificarsi di una sindrome da trasfusione feto-fetale (TTTS) può comportare alcune conseguenze:
l’aumento eccessivo della quantità di liquido amniotico comporta una maggiore distensione della cavità uterina e quindi una maggiore tendenza dell’utero a contrarsi.
Quindi questa maggiore attività contrattile dell’utero può causare un maggior rischio di parto pre-termine; il feto “ricevente” va incontro ad un aumento del volume sanguigno, e questo può comportare un sovraccarico cardiocircolatorio con possibile scompenso cardiaco. Il feto “donatore” d’altro canto, vendendosi a trovare con una quantità inferiore di sangue, può andare incontro a una riduzione del suo accrescimento anche molto grave.
La trasfusione feto-fetale, per le gravi conseguenze a cui può portare, può essere una complicanza molto critica della gravidanza gemellare . Pertanto è bene che, una volta fatta la diagnosi, la gravidanza interessata da tale problematica venga seguita presso strutture ospedaliere che abbiano una competenza specifica per tali problematiche.
Le possibilità di terapia consistono nell’amnioriduzione (amniocentesi eseguita per aspirare il liquido amniotico in eccesso in caso di polidramnios per ridurre il rischio di parto pretermine) e nella coagulazione laser delle anastomosi placentari (coagulazione dei vasi sanguigni attraverso i quali avviene il passaggio di sangue da un feto all’altro). Tali tecniche mediche è bene che vengano eseguite solo presso centri ospedalieri altamente specializzati.
È molto importante quindi la diagnosi precoce di sindrome da trasfusione feto-fetale (TTTS), che viene effettuata mediante controlli ecografici più frequenti rispetto a quelli richiesti per una gravidanza gemellare bicoriale: identificare i casi a maggior rischio è utile non solo per la scelta del tipo di terapia, ma anche per definire la prognosi nei singoli casi.
Il parto nella gravidanza gemellare può spesso porre delle problematiche particolari. Ciò è in relazione alla possibile presenza di complicanze (ad esempio ridotto accrescimento fetale, ipertensione, prematurità, ecc.).
Pur in assenza di complicanze, va considerato che spesso uno dei due feti può in prossimità del parto essere disposto con una presentazione anomala, come ad esempio la presentazione podalica (cioè con la testa in alto) o con una situazione trasversale. In tal caso si ritiene indicato l’espletamento del parto mediante taglio cesareo.
Oggi si tende a consentire nelle gravidanze gemellari il parto per via vaginale solo in caso di presentazione cefalica di entrambi i gemelli. Viene invece considerato come assolutamente controindicato il parto vaginale nelle gravidanze plurigemine (ad esempio trigemine o più) e nelle gravidanze gemellari monoamniotiche (cioè con entrambi i feti in uno stesso sacco amniotico).
Aborto spontaneo
Con il termine di aborto si definisce l’interruzione della gravidanza entro i 180 giorni (ovvero 25 settimane + 5 giorni) dalla data d’inizio dell’ultima mestruazione. A tale proposito si ricorda che la durata media della gravidanza è di 40 settimane, le quali vanno calcolate sempre a partire dal primo giorno dell’ultima mestruazione.
Nella maggioranza dei casi l’aborto spontaneo si verifica nel corso del primo trimestre di gravidanza.
La possibilità che una gravidanza evolva in esito abortivo è più elevata di quanto molti possono pensare. Si ritiene infatti che gli aborti spontanei rappresentino circa il 15-20% delle gravidanze.
In questa pagina si prende in considerazione solo l’aborto spontaneo, inteso cioè come interruzione spontanea della gravidanza, che si verifica cioè indipendentemente dalla volontà della donna.
Nella maggioranza dei casi di aborto spontaneo la causa non è riconoscibile.
Molto spesso si tratta di episodi sporadici, non cioè legati a fattori presenti in maniera continuativa nella stessa donna, e quindi non necessariamente ripetitivi. In tali casi può esservi una causa genetica e spesso legata all’età materna.
È infatti noto che il rischio di aborto spontaneo cresce con l’aumentare dell’età, potendo raggiungere il 40% di possibilità nelle donne oltre i 40 anni.
I casi di aborto ripetuto o ricorrente (due o più aborti consecutivi) possono essere dovuti a varie cause su cui è opportuno indagare:
- cause genetiche e cromosomiche;
- cause immunologiche;
- cause materne generali: patologie renali croniche, diabete, ipertensione arteriosa, patologie autoimmunitarie;
- anomalie uterine: fibromi uterini (specie se sottomucosi), malformazioni uterine (ad esempio: utero setto), beanza cervicale (o incontinenza cervico-segmentaria), ecc. Le anomalie uterine sono spesso causa di aborti che si verificano più tardivamente (nel secondo trimestre) oppure possono essere causa di un parto prematuro.
- Minaccia d’aborto
Si parla di minaccia d’aborto quando vi sono sintomi (dolore e/o perdite di sangue) che fanno temere il rischio che la gravidanza possa interrompersi con un aborto, ma vi sono segni che indicano che la gravidanza è tuttora in corso; ad esempio potrebbero esservi perdite di sangue e nel contempo l’ecografia permette di visualizzare l’embrione con il battito cardiaco presente.
- Aborto spontaneo completo
- Un aborto si può definire completo quando si verifica spontaneamente l’espulsione totale del materiale abortivo (embrione + placenta). Tale situazione può più facilmente verificarsi nei periodi più precoci della gravidanza (5-7 settimane di gravidanza). In questi casi può verificarsi un episodio di emorragia, di variabile entità, accompagnato a dolore al basso ventre o lombo-sacrale.
- Entro alcuni giorni emorragia e dolore regrediscono pressoché totalmente, e in occasione di un eventuale controllo medico l’ecografia non evidenzia alcuna immagine riferibile a residui abortivi ancora presenti in utero. In tali circostanze talora può succedere che, in assenza di un precedente accertamento della gravidanza (con ecografia o test di gravidanza), l’episodio abortivo (spontaneamente risoltosi con l’espulsione totale del materiale deciduo-ovulare) potrebbe essere erroneamente interpretato come un ritardo mestruale, con un flusso un po’ diverso dal solito.
- Aborto spontaneo incompleto
Nella maggioranza dei casi di aborto ci si trova di fronte a un aborto spontaneo incompleto. Cioè si interrompe, con la morte del feto, l’evoluzione della gravidanza, e quindi si verifica l’espulsione parziale di materiale abortivo, ma con l’ecografia si evidenzia la persistenza nell’utero di residui di materiale abortivo. In conseguenza di ciò continua con variabile entità una perdita di sangue, talora associata a dolore dovuto alla contrazione dell’utero che cerca di espellere spontaneamente il materiale abortivo.
Lo svuotamento dell’utero (mediante isterosuzione o revisione della cavità uterina, detta anche raschiamento) pone termine al sanguinamento e al dolore.
- Aborto in atto
Con questo termine si indica la situazione in cui si osserva il verificarsi dell’aborto in occasione del controllo medico. In tale circostanza si assiste ad una perdita ematica spesso discretamente abbondante, la donna avverte di solito dolore al basso ventre o a livello lombosacrale. Tale dolore è dovuto alla contrazione dell’utero che sta cercando di espellere spontaneamente il materiale abortivo. In occasione della visita medica è possibile assistere all’espulsione, insieme al sangue, di materiale abortivo.
Di fronte all’evidenza di tale situazione viene ovviamente ridimensionata l’importanza di altri esami, come ad esempio l’ecografia o esami ormonali. Qualora però si eseguisse l’ecografia in tale circostanza, sarebbe possibile evidenziare come le pareti uterine tendono a collabire su se stesse per effetto della graduale discesa della camera gestazionale verso il collo dell’utero e quindi della sua imminente espulsione in vagina.
- Aborto interno (o aborto ritenuto)
L’evenienza di un aborto interno (o ritenuto) spesso non si associa a sintomi chiari. Infatti nella evoluzione naturale di un aborto spontaneo solitamente l’arresto della evoluzione della gravidanza (cioè la morte del feto) può non comportare sintomi. Talvolta l’unico segno che fa sospettare l’aborto è la scomparsa dei comuni sintomi della gravidanza, ad esempio la nausea o la tensione del seno.
Va detto peraltro che tali segni, pur in una gravidanza in normale evoluzione, non sono sempre così chiaramente presenti in tutte le donne. Dopo un variabile periodo di tempo (giorni o anche settimane) dalla morte dell’embrione compaiono dei sintomi (perdite di sangue e dolore) dovuti al tentativo dell’utero di espellere il materiale abortivo. Molto spesso la diagnosi di aborto ritenuto viene fatta casualmente, in una donna con sintomi assenti o molto modesti, in occasione di un controllo ecografico. In tale circostanza si documenta l’esistenza in utero di una gravidanza, ma senza i segni di vita del feto (battito cardiaco e movimenti fetali).
- Aborto spontaneo ricorrente (o aborto abituale)
Si parla di aborto spontaneo ricorrente o abituale quando una donna va incontro a 2 o più aborti consecutivi.
In questi casi di poliabortività ovviamente non è più possibile considerare l’aborto come un evento casuale (come si considera il singolo episodio abortivo). Per le cause su cui indagare vedi quanto descritto in precedenza.
I sintomi con cui si può presentare una patologia abortiva possono essere variabili in rapporto alle diverse possibili situazioni cliniche.
La diagnosi di aborto spontaneo si basa su più elementi: visita ginecologica, ecografia e esami di laboratorio (test di gravidanza e dosaggio della betaHCG plasmatica).
- Visita ginecologica
La visita ginecologica può dare ovviamente diverse informazioni in rapporto alle diverse situazioni cliniche possibili. I primi elementi importanti derivano dall’anamnesi. Il ginecologo infatti raccoglie con l’anamnesi diverse informazioni utili nella valutazione della gravidanza:
- età della paziente;
- caratteristiche dei cicli mestruali (regolari o irregolari);
- data di inizio dell’ultima mestruazione, allo scopo di accertare il periodo attuale di gravidanza;
- precedenti gravidanze (con descrizione di eventuali complicanze se presenti) e loro esito (aborto, epoca e modalità del parto);
- pregresse patologie e/o interventi chirurgici (in particolare se a carico dell’apparato genitale);
- eventuali sintomi riferiti dalla donna che possano far sospettare una patologia abortiva (perdite di sangue e/o dolore al basso ventre o dolore lombo-sacrale).
L’esplorazione vaginale in presenza di una patologia abortiva potrà evidenziare diversi segni in rapporto a diverse situazioni (minaccia d’aborto, aborto interno, aborto in atto, ecc…).
In presenza di una perdita di sangue, l’osservazione con lo speculum vaginale permette di accertare la provenienza del sangue dalla cavità uterina (e quindi da mettere in relazione ad una possibile patologia abortiva) o invece dal collo dell’utero, ad esempio per presenza di un polipo o di una possibile ectopia sanguinante.
Il collo dell’utero all’esplorazione vaginale risulta solitamente chiuso. Può risultare dilatato nei casi di aborto in atto.
In tali casi, insieme a una perdita di sangue discretamente abbondante, si può constatare l’espulsione spontanea attraverso il collo dell’utero di materiale abortivo (embrione o frammenti di materiale placentare).
Il corpo dell’utero può risultare di volume inferiore rispetto a quanto ci si aspetterebbe per l’epoca di gravidanza nei casi di aborto interno (essendosi arrestata la gravidanza già da un variabile periodo di tempo) e nei casi di aborto spontaneo (completo o incompleto). Nella minaccia d’aborto lo sviluppo uterino è regolare in rapporto all’epoca di gravidanza.
- Ecografia
L’ecografia è uno strumento fondamentale nella diagnostica della patologia abortiva.
La variabilità delle situazioni cliniche comporta ovviamente che i dati ecografici possono essere variabili da caso a caso.
Minaccia d’aborto
L’ecografia evidenzia i segni di vita del feto: battito cardiaco fetale e, dopo le otto settimane, i movimenti attivi fetali. Può essere visibile l’immagine di un parziale scollamento del sacco gestazionale dalla parete uterina, con conseguente formazione di una raccolta di sangue tra camera gestazionale e parete uterina (cosiddetto ematoma sottocoriale).
- Aborto spontaneo completo
Essendo in tal caso avvenuta l’espulsione spontanea totale del materiale abortivo, l’ecografia non evidenzia più la presenza in cavità uterina della gravidanza.
In tale circostanza, se non è mai stata documentata in precedenza la presenza di una gravidanza nell’utero (con una precedente ecografia), va tenuta presente l’eventualità di una gravidanza extrauterina.
- Aborto spontaneo incompleto
L’ecografia evidenzia in tal caso la presenza in utero della gravidanza, ma senza i segni di vita del feto. Quest’ultimo, quando è visibile, risulta spesso di dimensioni inferiori a quelle attese per il periodo di gavidanza.
Se si è già verificata l’espulsione parziale di materiale abortivo, l’immagine di ciò che rimane in utero evidenzia una raccolta di materiale non omogenea, frammista a sangue e coaguli, nel contesto della quale non è ben riconoscibile il feto.
- Aborto interno (o ritenuto)
In tal caso risulta visibile nell’utero l’immagine della gravidanza ma senza i segni di vita del feto.
Questo spesso risulta di dimensioni inferiori rispetto a quelle attese per l’epoca di gravidanza e talora, se la morte del feto si è verificata molto precocemente, può anche non risultare affatto visibile. In tal caso l’ecografia mostra la camera gestazionale vuota (cosiddetto “blighted ovum”).
- betaHCG
Nella maggioranza dei casi di aborto spontaneo l’esame clinico e l’ecografia sono sufficienti a chiarire la diagnosi. L’HCG è una sostanza che viene prodotta molto precocemente dopo il concepimento e che aumenta costantemente fino al terzo mese di gravidanza. La sua presenza nell’urina fa si che il test di gravidanza risulti positivo.
In alcune situazioni può risultare utile misurare la quantità della betaHCG nel sangue. Infatti l’aumento della produzione dell’HCG (valutato su più prelievi nell’arco di un certo periodo di tempo) consente di documentare una sua attiva produzione da parte della placenta e ciò indirettamente ci dà informazioni sull’evoluzione della gravidanza.
Ovviamente la visualizzazione ecografica di un feto vitale toglie valore all’HCG: le immagini ecografiche parlano da sè senza bisogno di ulteriori commenti. Ma talora, nelle fasi più precoci della gravidanza, di fronte ad immagini ecografiche dubbie, il dosaggio della betaHCG può essere di aiuto nella valutazione del caso.
- Minaccia d’aborto
In caso di minaccia d’aborto la terapia principale è rappresentata dal riposo.
Talora possono essere di aiuto dei farmaci antispastici, che sono cioè in grado di ridurre la contrattilità uterina. In alcuni casi può essere indicata una terapia ormonale con Progesterone, sostanza che ha anch’essa un’azione che favorisce il rilassamento della muscolatura uterina.
Nei casi (poco frequenti) di minaccia d’aborto per incontinenza cervico-segmentaria (che consiste nella difficoltà del collo dell’utero nel contenere la gravidanza, con facilità ad una precoce dilatazione) è indicato il cerchiaggio cervicale: in anestesia generale, superato il primo trimestre di gravidanza, si applica un nastro o fettuccia annodata intorno al collo dell’utero.
- Aborto spontaneo completo
Qualora si documenti con l’ecografia che l’aborto si è svolto spontaneamente in maniera completa (cavità uterina vuota, senza ritenzione di materiale abortivo), in presenza di un sanguinamento pressochè nullo o che tende a cessare, non è richiesta alcuna terapia.
Sarà opportuno fare un controllo a distanza di qualche tempo con ecografia e betaHCG per accertare la cessazione, senza sequele o complicanze, della gravidanza.
- Aborto spontaneo incompleto e aborto interno (o ritenuto)
In questi casi, essendo documentata dall’ecografia la persistenza nell’utero di materiale abortivo, si rende necessario lo svuotamento della cavità uterina con tecniche chirurgiche.
Queste consistono nella revisione della cavità uterina (detta anche raschiamento) o, in alternativa, l’aspirazione del contenuto della cavità uterina (detta anche isterosuzione). Con tali interventi, eseguiti abitualmente in anestesia generale, si asporta dall’utero il materiale abortivo, su cui viene fatto l’esame istologico, in modo da confermare la diagnosi di aborto (nei casi dubbi) o verificare l’eventuale esistenza di altre patologie.
- Terapia farmacologica
In caso di aborto ritenuto nelle epoche più precoci della gravidanza, quando cioè l’embrione alla valutazione ecografica è molto piccolo (pochi mm.) o addirittura non è visibile, in alternativa alla terapia chirurgica si può proporre una terapia farmacologica.
Questa consiste nella assunzione di farmaci per via orale (pillole) a base di Misoprostolo. Tale sostanza provoca nelle ore successive delle contrazioni dell’utero necessarie per l’espulsione del materiale abortivo. In presenza di tali contrazioni la paziente avverte dolore al basso ventre e perdite di sangue dalla vagina, sintomi questi dovuti all’azione del farmaco. Ovviamente si dovrà successivamente valutare con l’ecografia se si è ottenuto lo svuotamento dell’utero.
In alcuni casi potrebbe verificarsi che l’azione del farmaco sia stata insufficiente ad ottenere il risultato voluto (ciò viene documentato dal controllo ecografico). In tal caso quindi si dovrà valutare se sarà più opportuna l’assunzione di ulteriori dosi di farmaco, o se sarà preferibile ricorrere alla terapia chirurgica (isterosuzione).
Interruzione volontaria gravidanza
Lo Stato garantisce il diritto alla procreazione cosciente e responsabile, riconosce il valore sociale della maternità e tutela la vita umana dal suo inizio.
L’interruzione volontaria della gravidanza, di cui alla presente legge, non è mezzo per il controllo delle nascite.Lo Stato, le regioni e gli enti locali, nell’ambito delle proprie funzioni e competenze, promuovono e sviluppano i servizi socio-sanitari, nonché altre iniziative necessarie per evitare che lo aborto sia usato ai fini della limitazione delle nascite.
I consultori familiari istituiti dalla legge 29 luglio 1975, n. 405 (2), fermo restando quanto stabilito dalla stessa legge, assistono la donna in stato di gravidanza:
- a) informandola sui diritti a lei spettanti in base alla legislazione statale e regionale, e sui servizi sociali, sanitari e assistenziali concretamente offerti dalle strutture operanti nel territorio;
- b) informandola sulle modalità idonee a ottenere il rispetto delle norme della legislazione sul lavoro a tutela della gestante;
- c) attuando direttamente o proponendo allo ente locale competente o alle strutture sociali operanti nel territorio speciali interventi, quando la gravidanza o la maternità creino problemi per risolvere i quali risultino inadeguati i normali interventi di cui alla lettera a);
- d) contribuendo a far superare le cause che potrebbero indurre la donna all’interruzione della gravidanza.
I consultori sulla base di appositi regolamenti o convenzioni possono avvalersi, per i fini previsti dalla legge, della collaborazione volontaria di idonee formazioni sociali di base e di associazioni del volontariato, che possono anche aiutare la maternità difficile dopo la nascita.
La somministrazione su prescrizione medica, nelle strutture sanitarie e nei consultori, dei mezzi necessari per conseguire le finalità liberamente scelte in ordine alla procreazione responsabile è consentita anche ai minori.
Centro Medico
Fiemme
Via Monte Mulat 17/A
38037 Predazzo (TN)
Tel. 0462 502533
Centro Medico
Salute di Cles
Viale A. De Gasperi 65
38023 Cles (TN)
Tel. 0463 424579
Centro Servizi
Sanitari di Trento
Via Lunelli 32
38121 Trento
Tel. 376 1315268


